서론
랑게르한스 세포 조직구증(Langerhans cell histiocytosis, LCH)은 주로 피부, 뼈, 림프절 등을 침범하는 희귀한 클론성 질환으로, 항원 제시 기능을 가진 수지상세포인 랑게르한스 세포의 비정상적인 증식이 특징이다.1) 본 질환은 단일 병변에서부터 다장기 침범에 이르는 다양한 임상양상을 보이며, 이비인후과 영역의 침범은 전체 LCH의 15%–60% 정도로 보고된다.2)
초기 외이도에 발생하는 육아조직은 일반적으로 감염성 또는 염증성 질환으로 간주되어 항생제 치료나 국소적 처치로 대응하는 경우가 많다.3) 하지만 병변이 비전형적이거나 치료에 반응하지 않을 경우, 영상학적 진단이나 조직학적 평가가 필요하다. 본 증례는 좌측 측두골을 광범위하게 침범한 LCH로, 초기에 외이도 종물 및 염증으로 오인되어 진단이 지연되었으며, 영상검사와 수술, 조직검사를 통해 확진 후 항암치료를 진행한 사례로, 조기 영상 및 조직학적 평가의 중요성을 강조하고자 한다.
증례
2세 5개월 된 남아가 내원 2개월 전부터 시작된 이루를 주소로 본원 이비인후과 외래에 내원하였다. 진찰 당시 좌측 외이도 내에 육아조직(granulation tissue)이 관찰되었으며(Fig. 1A), 이루에 대한 배양 검사에서 MSSA(Methicillin-sensitive Staphylococcus aureus)가 분리되었다. 이에 항생제 점이약으로 Cetraxal Plus® ear drops(ciprofloxacin 3 mg, fluocinolone acetonide 0.25 mg; Laboratorios Salvat, Barcelona, Spain)을 사용하고, 경구 항생제를 병용하여 치료하였고, 경과 관찰 중 이루는 호전되었으며 육아조직 또한 점차 소실되었다.
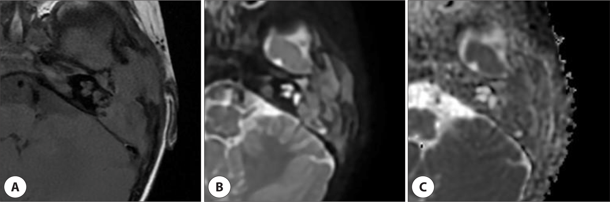
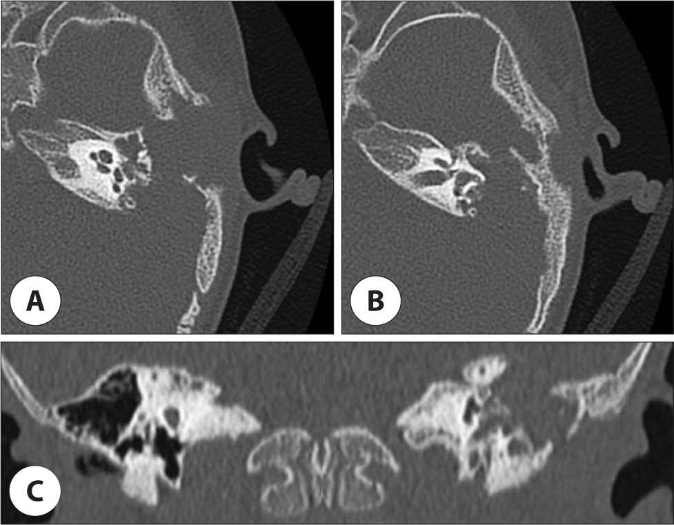
그러나 2개월 후 외이도 후방에서 종물이 돌출되는 양상으로 외이도 협착이 관찰되었고(Fig. 1B), 청성뇌간유발반응검사상 우측 30 dBnHL, 좌측 70 dBnHL로 좌측 난청 소견을 보였다. 정밀한 검사를 위해 측두골 전산화단층촬영(computed tomography, CT)을 시행하였다. CT에서는 좌측 유양돌기(mastoid), 측두골 인부(squamous part), 측두하악관절(temporomandibular Joint, TMJ)의 전방 및 상부, 외측 반고리관(lateral semicircular canal) 누공을 포함하는 광범위한 골 파괴성 병변이 확인되었으며, 중이강(middle ear cavity)에도 병변 침범이 확인되었으나 이소골의 파괴 소견은 명확하지 않았다(Fig. 2). 이후 확산 강조 자기공명영상(diffusion-weighted MRI[magnetic resonance imaging])에서는 동일 부위에 확산 제한 소견(diffusion restriction)을 동반한 병변이 관찰되어 진주종을 의심하였다(Fig. 3).
조직 검사를 통한 정확한 진단 및 병변 제거를 위해 전신마취 하 개방동 유양돌기절제술(canal wall down mastoidectomy)을 시행하였다. 수술 중 소견으로는 유양돌기 피질골(mastoid cortical bone)의 파괴가 있었으며(Fig. 4A), 외이도 및 유양돌기 내 광범위한 육아조직이 확인되었고, 병변은 중이강과 상고실(epitympanum), 유양동(mastoid antrum)을 포함하여 중두개와(middle cranial fossa) 경막 부근까지 침범하고 있었다(Fig. 4B). 영상소견과 마찬가지로 이소골 연쇄는 보존되어 있었고, 병변의 직접적인 침범은 관찰되지 않았으나 중이강 내 모든 병변을 제거하기 위해 침골(incus)은 제거하였다. 동결절편검사(frozen section biopsy)에서는 염증성, 괴사 소견을 동반한 bland-looking round cell들이 확인되었고, 최종 진단은 영구절편에서 확인 가능으로 판단되었다. 병변은 가능한 한 제거하였으나, 후두개와(posterior cranial fossa) 부위의 종물은 경막 손상 가능성으로 일부 잔존 병변을 남기고 최종 병리결과에 따라 추가적인 치료를 계획하기로 했다.
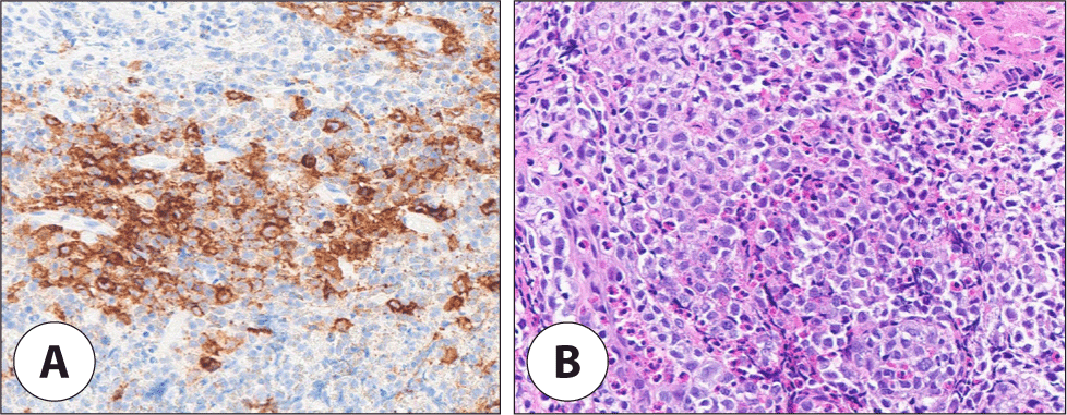
최종 병리 결과에서 LCH로 확진되었고, 면역조직화학검사에서는 CD1a 및 S-100 양성이었다(Fig. 5A, B). 이후 혈액종양내과로 의뢰하여 전신 자기공명영상(whole-body MRI), 골수 검사(bone marrow biopsy), 뼈 스캔(bone scan) 등의 전신 병기 평가를 시행하였으며, 그 결과 좌측 측두골 및 전두골 이외에 다른 장기 침범은 확인되지 않았다. Vinblastine 6 mg/m² pulse 요법과 prednisolone 병용 항암치료를 시작하였고, 현재 치료 10개월째로 영상 검사상 병변의 호전 소견을 보이고 있다. 국소적으로 재발을 시사하는 소견 또한 관찰되지 않았으며(Fig. 6), 향후 완전 관해가 확인되는 시점에 이소골성형술을 고려할 예정이다.
고찰
LCH는 주로 소아에서 호발하며, 인구 100만 명당 약 5.4명 정도로 발생하는 희귀 질환으로, 그중 약 17%에서 측두골 침범이 보고될 정도로 드물다.4) 임상 증상이 비특이적이고, 염증성 질환과의 감별이 어려워 임상적으로 중요하다.5) 특히 소아에서 발생한 경우 이루, 이통, 외이도 종물 등의 증상으로 나타나 흔히 만성 외이도염, 진주종 등으로 오인되어 초기 진단이 지연될 수 있다.6) 본 증례 역시 초기에 MSSA 감염으로 인한 외이도 육아조직으로 오인되어 항생제 치료가 시행되었고, 치료 2개월 후에는 국소소견 상 병변이 호전양상을 보여 추가적인 영상검사가 지연되었다.
영상검사에서 LCH는 일반적으로 골 파괴와 연조직 종괴를 동반하는 소견을 보인다.3) 27명의 소아 환자를 대상으로 한 연구에 따르면, CT 상 유양돌기 내 경계가 명확한 용해성 골 병변과 연조직 음영이 흔히 관찰되며, 이소골은 대부분 보존되고 약 18%에서만 내이 미로낭 침범이 동반되었다.7) 본 증례에서도 이소골은 보존되었고, 외측 반고리관 일부를 제외하면 골성 미로 또한 보존된 상태였다. 이는 진주종에서 이소골 침범이 매우 흔한 점과 비교할 때, 감별 진단에 참고할 수 있는 소견으로 생각된다. 조영증강 MRI가 시행되었다면, 진주종은 일반적으로 조영증강을 보이지 않는 반면, LCH는 연부조직 병변에 조영증강이 나타나는 경향이 있어 감별 진단에 도움이 되었을 것이나, 본 증례에서는 술 전에 T1-weighted 및 diffusion-weighted MRI만 시행되었다. LCH 환자의 확산강조 MRI 소견에 대한 증례 보고는 아직 많지 않으나, LCH는 세포간 기질이 적고 세포 밀도가 높아 확산 제한을 보일 수 있는 병변이다. 본 증례에서도 확산 제한을 동반한 골 파괴성 병변이 관찰되어 초기에는 진주종에 의한 병변으로 의심하였으나, 이후 수술 및 조직검사를 통해 LCH로 확진되었다.
병리조직학적으로는 CD1a, S-100, langerin 양성 소견이 진단에 중요하며, 특히 CD1a와 S-100 양성은 LCH를 진단하는 데 있어 핵심적인 면역조직화학적 지표이다.4)
LCH의 치료는 병변의 범위와 위치에 따라 달라지며, 단일 병변의 경우 수술적 절제가 가능하나, 다기관 침범 또는 위험 부위 침범 시에는 항암치료가 필요하다.8) 침범 범위 및 위험도에 따라 일반적으로 vinblastine + prednisone 병합요법 혹은 mercaptopurine을 추가하여 사용하기도 하고 재발성, 난치성의 경우 cladribine이나 cytarabine을 사용하기도 한다.9) 본 증례에서는 LCH 여부를 모르는 상황에서 수술을 진행했던 케이스로, 병변이 중두개와 및 후두개와 경막까지 광범위하게 진행되어 일부 병변은 완전 절제하지 못하였고, 수술 후 전신 자기공명영상에서 좌측 전두골 침범 소견이 추가로 확인되어, 소아청소년과에서 vinblastine과 prednisone 병용 항암치료가 병행되었다.
LCH는 임상 경과가 다양하고 예후 예측이 어려워 아직까지 예후 인자에 대해 완전한 정립은 부족하지만, 이전 연구들에서 일반적으로 어린 연령에 발병할 경우, 다장기 침범의 경우 예후가 좋지 않다고 알려져 있다.3,10) 측두골에 국한된 단일 병변은 타 장기 침범이 드물고 비교적 예후가 양호한 것으로 알려져 있으며, 보고된 5년 생존율은 90% 이상, 재발률은 약 14.3%에서 20%로 보고된다.4,8) 따라서 병변 수, 범위, 침범 장기 유무에 따라 장기 예후와 재발 가능성을 고려한 치료 및 추적 전략이 필요하다.
이 증례는 겉보기에는 단순한 외이도 육아조직으로 보였던 병변이 실제로는 측두골을 침범한 LCH였으며, 치료 초기에는 감염성 질환으로 오인되어 진단이 지연될 수 있었던 사례이다. 따라서 소아에서 비전형적인 외이도 병변이 지속되는 경우에는 LCH를 포함한 종양성 질환에 대해 인식하고, 영상학적 평가와 조직검사를 통해 조기에 진단할 필요가 있으며, 이를 통해 불필요한 치료 지연을 막고 적절한 치료 계획을 수립할 수 있다.





