Journal of Clinical Otolaryngology Head and Neck Surgery
The Busan, Ulsan, Gyeoungnam Branch of Korean Society of Otolaryngology-Head and Neck Surgery
Case Report

Multiple Primary Squamous Cell Carcinoma Occurring in the Pharynx and Nasal Cavity: A Case Report

Dong Woo Lee1https://orcid.org/0000-0002-4481-9339, So Yeon Lee1https://orcid.org/0000-0001-9900-8683, Joo Yeon Kim1https://orcid.org/0000-0001-8432-6056, Jae Hwan Kwon1,*https://orcid.org/0000-0002-3260-6969
1Department of Otolaryngology-Head and Neck Surgery, Kosin University College of Medicine, Busan, Korea
*Corresponding author: Jae Hwan Kwon, Department of Otolaryngology-Head and Neck Surgery, Kosin University College of Medicine, Busan 49267, Korea, Tel: +82-51-990-6247, Fax: +82-51-245-3257, E-mail: entkwon@hanmail.net

© Copyright 2025 The Busan, Ulsan, Gyeoungnam Branch of Korean Society of Otolaryngology-Head and Neck Surgery. This is an Open-Access article distributed under the terms of the Creative Commons Attribution Non-Commercial License (http://creativecommons.org/licenses/by-nc/4.0/) which permits unrestricted non-commercial use, distribution, and reproduction in any medium, provided the original work is properly cited.

Received: Nov 11, 2025; Revised: Dec 08, 2025; Accepted: Dec 23, 2025

Published Online: Dec 31, 2025

ABSTRACT

Nasal cavity squamous cell carcinoma (SCC) is a rare malignancy, accounting for approximately 3% of all head and neck tumors. Generally, advanced SCC is often associated with regional or distant metastasis. There are currently no established treatment guidelines for patients with multiple SCCs arising in the nasal cavity. We report a rare case of SCC arising from multiple origins including the right palatal tonsil, left nasal septum, left inferior turbinate, and left frontal recess at different periods. Four operations were performed and a radiotherapy was administered. No sign of recurrence has observed untill 2 year after the last surgery.

Keywords: Carcinomas, Squamous cell; Nasal cavity

Introduction

Malignancies of the nasal cavity is a comparatively rare, accounting for approximately 3% of all head and neck cancers, and exhibit diverse histopathologic features.14) squamous cell carcinoma (SCC) is the most common subtype, comprising nearly 50% of nasal cavity cancers, followed by adenocarcinoma, malignant melanoma, adenoid cystic carcinoma and olfactory neuroblastoma.14) Despite recent advances in radiotherapeutic techniques, overall survival has shown limited improvement, largely due to local recurrence and complex anatomical constraints.13)

Most previously reported cases of nasal cavity SCC involve a single primary tumor or localized recurrence. In contrast, multiple metachronous local occurrences of SCC at different sinonasal and pharyngeal subsites are exceedingly rare, and only a limited number of reports have addressed such atypical clinical courses.5,6) Consequently, the biological behavior, optimal surveillance strategies, and appropriate treatment approaches for patients with repeated local occurrences remain poorly defined.

We report a case of SCC arising metachronously in the oropharynx and nasal cavity, highlighting the need for careful long-term surveillance and individualized treatment strategies in this uncommon disease course.

Case Report

A 55-year-old male with no significant medical or social history was initially diagnosed with HPV-positive SCC of the right palatal tonsil, presenting with throat pain and blood-tinged secretion. Imaging revealed a 1.0×1.9 cm right tonsillar mass with multiple metastatic lymph nodes about 1.0–1.5 cm in the right cervical Level II (Fig. 1). He underwent right radical tonsillectomy and modified radical neck dissection, followed by adjuvant radiotherapy. Pathology revealed predominantly carcinoma in situ with severe dysplasia and equivocal minimal stromal invasion, and no recurrence was observed for 5 years.

jcohns-36-4-107-g1
Fig. 1. (A) Preoperative endoscopy shows a ulcerative, infiltrative mass at the right palatal tonsil (arrow). (B) Axial view of enhanced neck CT show the poorly-defined, soft tissue density mass (arrow) with heterogenous enhancement at the right palatal tonsil and cystic cervical metastatic lymph nodes at the right level II.
Download Original Figure

Five years later, he presented progressive bilateral nasal congestion and epistaxis. On nasal endoscopy, a posterior nasal septal mass of about 1.0 cm was observed (Fig. 2A). On computed tomography (CT) of the nasal sinuses, a round mass measuring 1.0×0.6 cm with soft tissue opacification in the nasal septum and left nasal cavity, and haziness of the left frontal sinus was observed (Fig. 2B). On magnetic resonance imaging (MRI), the tumor revealed an irregular margin with surrounding tissues and bone destruction of the posterior nasal septum. Positron emission tomography revealed a hypermetabolic lesion extending to the left ethmoid sinus. The mass was histopathologically diagnosed as SCC punch biopsy. Endoscopic nasal septectomy and left anterior middle turbinectomy were performed, and histopathology confirmed invasive SCC involving the posterior nasal septum and left middle turbinate with negative resection margins (Fig. 2C). No adjuvant radiotherapy was administered, and the patient remained disease-free for 2 years.

jcohns-36-4-107-g2
Fig. 2. (A) Preoperative endoscopy shows a septal mass of about 1.0 cm long, fungating to the left nasal cavity (arrow). (B) Coronal view of non-enhanced face CT shows the 1.0x0.6 cm round mass with soft tissue density (arrow) and sinusitis of the left maxillary, ethmoidal and frontal sinus. (C) Postoperative rhinoscopy shows the removed posterior septum and left medial maxillary wall.
Download Original Figure

During follow-up, a 0.9 cm bleeding mass of left inferior turbinate was detected and diagnosed as SCC (Fig. 3A). On CT, a soft tissue mass of about 1.0×1.0 cm with irregular margins was detected. MRI revealed a slightly enhanced mass in the left inferior turbinate. Endoscopic left partial inferior turbinectomy was performed (Fig. 3B). Pathology revealed well-differentiated, minimally invasive SCC (invasion depth 0.2 mm) without lymphovascular or perineural invasion, with diffuse p16 positivity. Surgical margins were clear, no adjuvant therapy was given.

jcohns-36-4-107-g3
Fig. 3. (A) Preoperative laryngoscopy shows a left inferior turbinate mass of about 0.9 cm with bleeding(arrow). (B) Intraoperative rhinoscopy shows the removed posterior inferior turbinate and left medial maxillary wall.
Download Original Figure

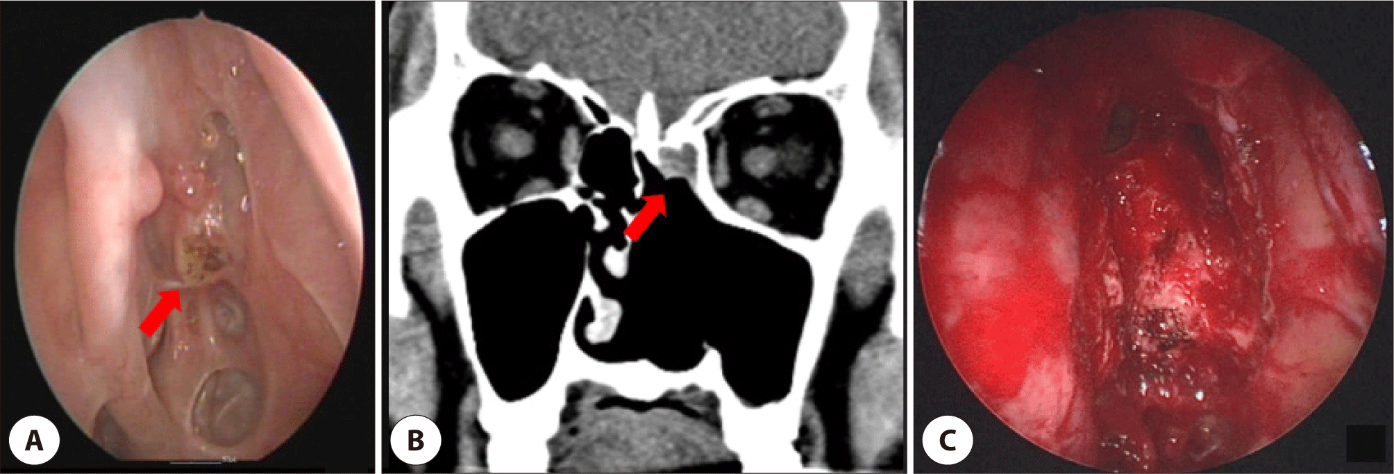
Nine months later, a 1.0 cm lesion in the left frontal recess identified on surveillance nasal endoscopy (Fig. 4A). CT revealed a tumorous soft-tissue lesion accompanied by sinusitis of the left frontal sinus (Fig. 4B). The mass was confirmed to be a SCC. A modified Lothrop operation was performed on both sides of the frontal sinuses. The tumor was removed, and the base of the tumor was drilled to the extent possible (Fig. 4C). Biopsy confirmed well-differentiated SCC with carcinoma in situ components, and immunohistochemistry showed strong p16 positivity with p53 and p63 expression. The patient has remained disease-free for 2 years since the last treatment.

jcohns-36-4-107-g4
Fig. 4. (A) Preoperative endoscopy shows a mass of about 1.0 cm originating from the left frontal recess (arrow). (B) Coronal view of CT shows tumorous soft-tissue lesion accompanied by sinusitis of the left frontal sinus (arrow). (C) Intraoperative rhinoscopy shows the removed inferior wall and inter-sinus septum of the bilateral frontal sinus.
Download Original Figure

The chronological clinical course, treatments, and follow-up durations are summarized in Table 1.

Table 1. Chronological summary of clinical course and follow-up
No. Date/Interval Primary site Treatment Adjuvant Tx Disease-free interval
1 Initial diagnosis Rt. tonsil Radical tonsillectomy, mRND RT 5 y
2 + 5 y Posterior nasal septum Endoscopic nasal septectomy, left anterior middle turbinectomy None 2 y
3 + 7 y Lt. inferior turbinate Endoscopic left partial inferior turbinectomy None 8 mon
4 + 7 y 9 mon Lt. frontal recess Modified Lothrop RT 2 y (ongoing)
Download Excel Table

Discussion

The management of locally recurrent SCC of the nasal cavity has been a challenge due to its low incidence and the lack of consensus regarding optimal treatment strategies.7,8) In the absence of lymphatic and distant metastasis, complete surgical resection with negative margins, with or without adjuvant radiotherapy, is generally considered the mainstay of treatment.8,9)

Unlike malignant mucosal melanoma, which shows frequent local recurrence with skip lesions, sinonasal SCC rarely presents with multiple local occurrences at different sites.1,2,4,9) Therefore, the clinical course of the present case was unusual and resembled the behavior of mucosal melanoma rather than that of typical SCC.

All sinonasal tumors in this case were diagnosed after documented disease-free intervals following treatment of the preceding lesions, supporting a metachronous pattern of tumor development. Although the possibility of occult synchronous lesions at the time of the initial tonsillar cancer diagnosis cannot be entirely excluded, no clinically evident sinonasal abnormalities were identified during the initial diagnostic work-up. The subsequent tumors became clinically apparent only during follow-up or symptom-driven evaluations.

Distinguishing between metachronous multiple primary tumors and local or regional recurrences of SCC is often difficult. The concept of field cancerization suggests that genetically altered mucosa can give rise to multiple tumors over time, either as independent primary tumors or as clonally related lesions through lateral clonal expansion.10,11) Diagnostic tools such as HPV status, p16 immunohistochemistry, TP53 mutation analysis, and comparative genomic profiling have been proposed to aid in this distinction; however, such analyses were not performed in the present case.1215)

Another important consideration is the possibility of carcinoma arising in association with inverted papilloma, which exhibits distinct histologic and molecular features compared with de novo SCC. In this case, careful histopathologic review revealed no evidence of inverted papilloma in the background mucosa, making an inverted papilloma–associated SCC unlikely.

Previous reports have suggested that irradiation may increase the risk of subsequent SCC development. However, in our case, the nasal cavity was not included in the initial radiotherapy, as the radiation field for the primary tonsillar cancer was confined to the oropharynx and the ipsilateral neck levels II-IV, and there was no history of irradiation at the time of nasal cavity surgery.

Treatment decisions were individualized based on tumor location, extent, prior treatment history, and the feasibility of achieving clear surgical margins. Localized sinonasal lesions in non-irradiated fields were managed with complete endoscopic resection, while adjuvant radiotherapy was reserved for anatomically complex disease involving the frontal recess to improve local control.

In conclusion, the case illustrates a rare clinical course of repeated metachronous SCC involving the pharynx and nasal cavity. Regardless of whether these lesions represent independent primary tumors or clonally related disease, meticulous surgical excision with confirmation of cancer-free margins remains essential. Long-term surveillance is crucial, as sinonasal SCC may occasionally demonstrate atypical patterns of multiple local occurrences despite appropriate initial management.6,7)

Acknowledgements

Not applicable.

Funding Information

Not applicable.

Conflicts of Interest

No potential conflict of interest relevant to this article was reported.

Author Contribution

Conceptualization: Kwon JH.

Data curation: Lee DW.

Formal analysis: Lee SY.

Methodology: Kim JY, Kwon JH.

Software: Lee DW.

Validation: Kwon JH.

Investigation: Lee DW, Lee SY.

Writing - original draft: Lee DW.

Writing - review & editing: Lee DW, Lee SY, Kwon JH, Kim JY.

Ethics Approval

This study was conducted with a deliberation exemption (IRB No. 2023-12-021) by the Institutional Review Board of the Kosin University Gospel Hospital.

References

1.

Unsal AA, Dubal PM, Patel TD, Vazquez A, Baredes S, Liu JK, et al. Squamous cell carcinoma of the nasal cavity: A population-based analysis. Laryngoscope 2016;126(3):560-5.

2.

Sanghvi S, Khan MN, Patel NR, Yeldandi S, Baredes S, Eloy JA. Epidemiology of sinonasal squamous cell carcinoma: a comprehensive analysis of 4994 patients. Laryngoscope 2014;124(1):76-83.

3.

Turner JH, Reh DD. Incidence and survival in patients with sinonasal cancer: a historical analysis of population-based data. Head Neck 2012;34(6):877-85.

4.

Katz TS, Mendenhall WM, Morris CG, Amdur RJ, Hinerman RW, Villaret DB. Malignant tumors of the nasal cavity and paranasal sinuses. Head Neck 2002;24(9):821-9.

5.

Scurry WC Jr, Goldenberg D, Chee MY, Lengerich EJ, Liu Y, Fedok FG. Regional recurrence of squamous cell carcinoma of the nasal cavity: a systematic review and meta-analysis. Arch Otolaryngol Head Neck Surg 2007;133(8):796-800.

6.

Hussain T, Mattheis S, Dominas N, Hoing B, Lang S, Stuck BA. Regional recurrence in a case series of patients with carcinoma of the nasal cavity: therapeutic implications. Rhinology 2017;55(4):355-362.

7.

Dulguerov P, Jacobsen MS, Allal AS, Lehmann W, Calcaterra T. Nasal and paranasal sinus carcinoma: are we making progress? A series of 220 patients and a systematic review. Cancer 2001;92(12):3012-29.

8.

Day TA, Beas RA, Schlosser RJ, Woodworth BA, Barredo J, Sharma AK, et al. Management of paranasal sinus malignancy. Curr Treat Options Oncol 2005;6:3-18.

9.

Becker C, Kayser G, Pfeiffer J. Squamous cell cancer of the nasal cavity: new insights and implications for diagnosis and treatment. Head Neck 2016;38(Suppl 1):E2112-7.

10.

Slaughter DP, Southwick HW, Smejkal W. Field cancerization in oral stratified squamous epithelium: clinical implications of multicentric origin. Cancer 1953;6(5):963-8.

11.

Warren S, Gates O. Multiple primary malignant tumors. Am J Cancer 1932;16:1358-414.

12.

Braakhuis BJM, Tabor MP, Leemans CR, van der Waal I, Snow GB, Brakenhoff RH. Second primary tumors and field cancerization in oral and oropharyngeal cancer: molecular techniques provide new insights and definitions. Head Neck 2002;24(2):198-206.

13.

Gasparotto D, Maestro R, Barzan L, Vukosavljevic T, Doglioni C, Sulfaro S, et al. Recurrences and second primary tumours in the head and neck region: differentiation by p53 mutation analysis. Ann Oncol 1995;6(9):933-9.

14.

Califano J, van der Riet P, Westra W, Nawroz H, Clayman G, Piantadosi S, et al. Genetic progression model for head and neck cancer: implications for field cancerization. Cancer Res 1996;56(11): 2488-92.

15.

Tabor MP, Brakenhoff RH, Ruijter-Schippers HJ, van der Wal JE, Snow GB, Leemans CR, et al. Multiple head and neck tumors: frequently originate from a single preneoplastic lesion. Am J Pathol 2002;161(3):1051-60.