Journal of Clinical Otolaryngology Head and Neck Surgery
The Busan, Ulsan, Gyeoungnam Branch of Korean Society of Otolaryngology-Head and Neck Surgery
Case Report

개방적 경부 배액술로 치료한 식도벽내 농양

이효준1https://orcid.org/0009-0007-4177-4335, 박우리1,*https://orcid.org/0000-0001-9032-6685
Hyojun Lee1https://orcid.org/0009-0007-4177-4335, Woori Park1,*https://orcid.org/0000-0001-9032-6685
1가천대학교 의과대학 길병원 이비인후과학교실
1Departments of Otorhinolaryngology-Head and Neck Surgery, Gachon University Gil Medical Center, Incheon, Korea
*Corresponding author: Woori Park, Department of Otorhinolaryngology–Head and Neck Surgery, Gachon University Gil Medical Center, Incheon 21565, Korea, Tel: +82-10-5440-3953, Fax: +82-32-461-3214, E-mail: wooripark@gilhospital.com

© Copyright 2025 The Busan, Ulsan, Gyeoungnam Branch of Korean Society of Otolaryngology-Head and Neck Surgery. This is an Open-Access article distributed under the terms of the Creative Commons Attribution Non-Commercial License (http://creativecommons.org/licenses/by-nc/4.0/) which permits unrestricted non-commercial use, distribution, and reproduction in any medium, provided the original work is properly cited.

Received: Nov 09, 2025; Revised: Dec 08, 2025; Accepted: Dec 17, 2025

Published Online: Dec 31, 2025

ABSTRACT

Intramural esophageal abscess is an exceptionally rare condition that often mimics submucosal tumors or inflammatory disorders, resulting in diagnostic delay and potential life-threatening complications. We describe the case of an 83-year-old woman who presented with persistent neck pain and odynophagia. Imaging demonstrated an intramural abscess extending from the pre-epiglottic space into the mediastinum. Although endoscopic drainage was initially considered, it was not performed because of the high risk of perforation. The patient underwent open cervical drainage, and Streptococcus anginosus was isolated from the pus culture. She subsequently recovered fully after surgical intervention and appropriate postoperative antibiotic therapy. While minimally invasive endoscopic approaches have been increasingly reported in the management of intramural esophageal abscess, this case emphasizes that open surgical drainage remains an essential therapeutic option when endoscopic access is not feasible or when disease involvement is extensive, underscoring the need for early recognition and tailored treatment strategies.

Keywords: Esophageal diseases; Abscess; Drainage; Streptococcus anginosus

서론

식도 주위 및 심부 경부 감염은 치성 감염, 인두 감염, 외상, 내시경 시술 등 다양한 원인에 의해 발생할 수 있으며, 이 중 식도 벽 내(intramural) 농양은 발생 빈도가 극히 낮아 임상적으로 매우 드문 질환으로 분류된다.1) 일반적으로 이 질환은 식도 점막 표면이 비교적 정상으로 보이는 반면, 점막하층 이하에 국한된 화농성 병변이 형성되는 특징을 갖는다. 이러한 특성 때문에 임상 초기에는 흔한 식도염, 점막하 종양(submucosal tumor), 혹은 단순한 점막하 병변과 혼동되기 쉽고, 이에 따라 진단이 지연되거나 적절한 치료 시기가 늦어지는 경우가 보고되고 있다.1,2) 또한, 병변이 진행될 경우 심부 경부 감염이나 종격동염과 같은 치명적인 합병증으로 발전할 수 있어 조기 진단과 적절한 치료 전략 수립이 필수적이다.

영상학적 진단 도구 중 CT(computed tomography)는 식도 벽과 주위 연조직의 염증성 변화를 시각화하여 병변의 해부학적 범위를 평가하고, 병변이 경부 및 종격동으로 파급되었는지를 확인하는 데 유용하다.2) 그러나 식도 벽 내 농양은 점막하층에 국한된 특성상 CT만으로는 다른 점막하 병변과 감별하기 어려운 경우가 많다. 이와 달리 내시경초음파(endoscopic ultrasound scopy, EUS)는 병변이 점막과 연결되어 있는지, 점막하층에만 국한되어 있는지를 확인할 수 있어 진단에 있어 탁월한 장점을 지닌다.3) 다만, EUS 유도 세침흡인술(fine needle aspiration, FNA)은 천공의 위험이 존재하기 때문에 제한적으로만 시행되며, 특히 점막 변화가 불분명하거나 병변이 깊숙이 위치한 경우 시술이 어려울 수 있다.

치료 방법은 병변의 크기, 위치, 전신 상태, 종격동 파급 여부에 따라 다양하게 선택된다. 항생제 단독 치료만으로 호전된 사례가 일부 보고되었으나, 이는 병변이 제한적일 경우에 국한된다. 최근에는 내시경적 절개 및 배농 혹은 EUS 유도 배농이 최소 침습적 접근법으로 주목받고 있으며, 여러 증례에서 안전성과 효과가 입증되었다.3,4) 또한, 접근 가능한 경우에는 경피적 배농도 고려될 수 있으며, 이는 특히 심부 경부 농양 치료에서 효과적인 방법으로 알려져 있다. 그러나 병변이 광범위하게 퍼져 있거나 종격동까지 확산된 경우, 혹은 내시경적 접근 자체가 불가능한 경우에는 개방적 수술을 통한 배농이 불가피하다.5,6) 본 증례는 내시경적 배농이 불가능했던 상황에서 경부 절개를 통한 개방적 수술로 성공적으로 치료한 드문 사례로, 기존 문헌 고찰과 함께 본 증례를 보고하고자 한다.

증례

83세 여자가 내원 수일 전부터 지속되는 경부 통증을 주소로 타병원에서 입원치료 시행하였으나 호전을 보이지 않아 본원 외래 내원하였다. 기저 질환으로 혈압과 천식을 앓고 있었으며, 그 외 특이 과거력은 없었다. 최근 감기 후 인후통의 악화나 생선가시 이물 등의 인두 외상, 상부위장관 내시경 시술 등의 병력은 없었다. 내원 당시 인후통 및 가래, 경부 통증 호소하였으며, 내원 당시 혈압 118/60 mm Hg, 심박수 114회/분, 호흡 횟수 20회/분, 체온은 36.9도였다. 혈액검사에서 백혈구 7280, 호중구 비율 64.7 %, 고감도C반응단백(high sensitive C-reactive protein) 1.56 mg/dL였다. 후두경 검사에서 인후두부 특이 부종 및 염증 소견 보이지 않았으나 농(pus)이나 가래로 의심되는 분비물 관찰되었다(Fig. 1). 갑상선 연골 근처 경부 촉진 시 통증도 동반되었다.

jcohns-36-4-102-g1
Fig. 1. Rigid laryngoscopic examination of the hypopharynx and larynx. No remarkable mucosal swelling or inflammatory change was observed, but purulent secretion suspicious for pus or sputum was identified in the hypopharyngeal region.
Download Original Figure

경부전산화단층촬영 결과 갑상선 상극 수준의 후인두벽과 식도 후벽을 따라 저음영 병변이 관찰되었고, 이는 식도 벽 내 농양으로 판단되었으며 내장 공간(visceral space)을 따라 종격동까지 연속적으로 진행하는 양상이었다(Fig. 2).

jcohns-36-4-102-g2
Fig. 2. Contrast-enhanced CT scan demonstrating an intramural abscess within the esophageal wall. The lesion extends from the level of the upper thyroid pole along the posterior hypopharyngeal and cervical esophageal wall as a localized, well-defined, low-attenuation area with peripheral rim enhancement, indicating pus collection confined within the wall layers and along the visceral space.
Download Original Figure

위식도 내시경을 통한 배농을 위해 소화기 내과에 협진 의뢰하여 내시경 초음파를 시행하였다. 검사에서 상부식도 16–21 cm 부위에서 농양으로 추정되는 액체 저류(fluid collection)가 관찰되었으나 내시경 소견상 점막 면에서는 명확한 염증 소견이 확인되지 않았으며, 이로 인해 천공 위험성이 높다고 판단되어 천자(puncture)나 흡인(aspiration)은 시행하지 못하였다.

익일 본과적 수술을 진행하였으며 전신 마취하에 비위관(L-tube)을 삽입한 후 갑상선 부위에 약 5 cm 길이의 절개선을 디자인한 뒤 절개하였다. 피하 층을 충분히 박리하여 설골하근(strap muscles)을 노출시킨 후, 중선을 따라 접근하던 중 갑상선 후방과 연결된 누공(fistula)을 확인하였다. 이 부위에서 다량의 농과 근육 유착이 관찰되었으며, 농배양 검체를 채취하였다. 갑상선을 노출시킨 후 좌측 갑상선과 주변 연조직을 박리하여 측부 구조물을 확인하였다. 경동맥은 보존되었으며, 갑상선 하외측을 따라 박리하여 식도 전방의 농양강을 개방하였고 다량의 농이 배출되었다. 이때 식도 점막의 추가 천공을 유발하지 않도록 농양강 개방 시 점막을 가능한 한 보존하면서 절개를 최소화하였다. 또한, 좌측 후두반회신경(recurrent laryngeal nerve)의 손상을 예방하기 위해 기관-식도 고랑(tracheoesophageal groove) 주변의 불필요한 박리를 피하고, 갑상선 후내측 연을 따라 식도 전벽 쪽으로 박리 범위를 제한하였다. 농양강에 대해 충분한 세척(irrigation)을 시행한 뒤 해부학적 층(layer)에 따라 봉합하였으며, 드레싱 후 수술을 종료하였다. 농양 배양 검사에서 앵기노서스 연쇄상구균(Streptococcus anginosus)이 동정되었다.

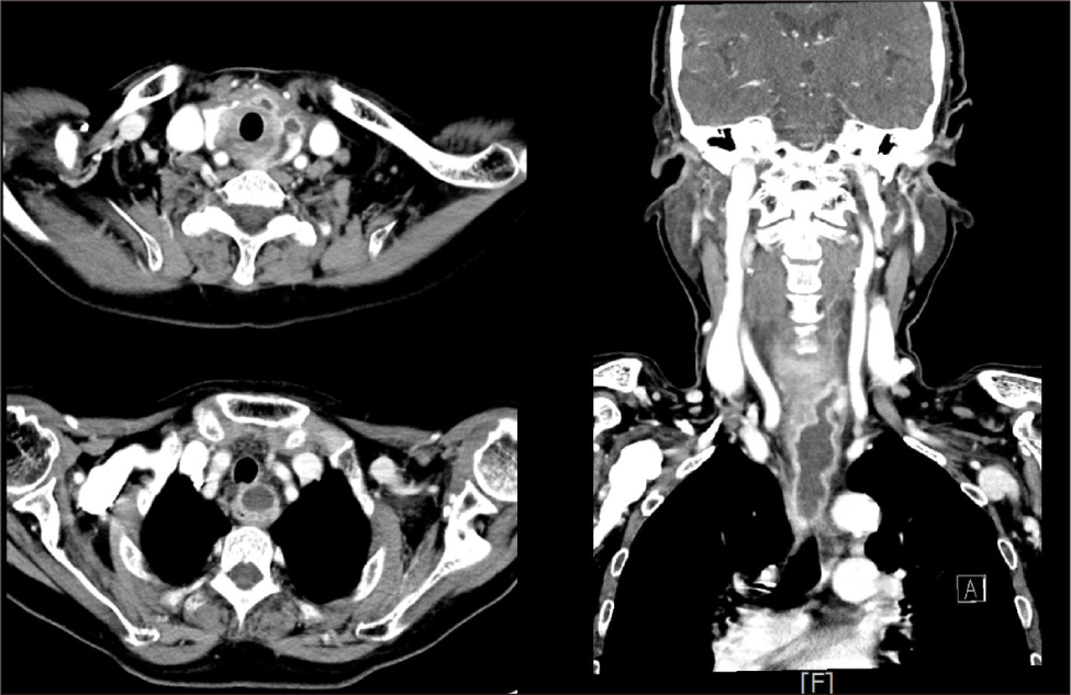
술 후 최고온도 39.3도의 발열 및 고감도C반응단백(high sensitive C-reactive protein) 8.37 mg/dL 상승 소견을 보였으며, 환자는 수술 후 위관 식이 과정에서 흡인(aspiration)이 발생하였다. 일부 흡인된 내용물이 음식물이 소화되지 않은 상태로 그대로 관찰되어, 이는 위 배출 지연보다는 괄약근 기능 부전(sphincter dysfunction)에 의한 것으로 판단하였다. 이에 따라 금식 후 흡인에 따른 폐 상태를 확인하기 위하여 경부 및 흉부 전산화단층촬영을 시행하였다. 영상 검사 결과 이전에 관찰되었던 하경부 및 식도 벽 내, 종격동의 액체 저류는 감소하였으나(Fig. 3), 양측 폐(특히 하부 의존 부위)에서는 반점형 경화, 간유리음영, 다발성 결절이 관찰되었고 간질음영의 두드러짐 및 경도의 분비물이 동반되어 기관지폐렴 및 무기폐가 의심되었다.

jcohns-36-4-102-g3
Fig. 3. Postoperative contrast enhanced CT scan demonstrating significant improvement of the previously noted intramural abscess within the esophageal wall. The previously observed low-attenuation area with peripheral rim enhancement has markedly decreased in size. Wall thickening is notably reduced, and surrounding inflammatory changes have subsided.
Download Original Figure

감염내과 협진하여 투여 중이던 piperacillin/tazobactam을 meropenem으로 변경하였다. 이후 발열 및 염증 수치가 호전되어 비위관을 제거한 후 식이를 시작하였고, 식이가 원활하여 해당 진료과에서 퇴원하였으며 총 항생제 투여 기간은 입원 기간을 포함하여 약 3주간이었다. 퇴원 2주 후 외래에서 추적 관찰 시 흡인 등의 특이 소견 관찰되지 않았다.

고찰

식도 벽 내 농양은 보고 빈도가 현저히 낮은 질환이다. 병리학적으로는 점막 표면은 비교적 정상으로 보이는 반면 점막하층 이하에서 화농성 병변이 국한되어 발생한다는 점에서 일반적인 식도염이나 점막하 종양과의 감별이 어려운 특징이 있다.1,2) 이러한 특성은 진단 지연의 주요 원인이 되며, 진단 과정에서는 환자의 임상 증상, 영상학적 검사, 내시경 소견을 종합적으로 해석하는 다각적인 접근이 요구된다.

영상 진단 측면에서 CT는 식도 벽 비후, 농양강 내 저음영 병변, 주위 연조직의 침윤 소견 등을 통해 병변의 위치와 범위를 평가하고, 병변이 종격동이나 심부 경부로 파급되었는지 확인하는 데 필수적인 역할을 한다.2) 특히 본 증례와 같이 갑상선 상극 수준의 후인두벽과 식도 후벽에 걸쳐 병변이 분포하면서 내장 공간을 따라 종격동으로 연속적으로 확장된 경우, 심부 경부 감염 및 종격동염으로의 진행 위험성을 염두에 두고 병변의 해부학적 범위를 정밀하게 평가하는 것이 중요하다.5,6) 그러나 CT만으로는 점막하 병변과의 감별이 어려운 경우가 많다. 이에 비해 EUS는 병변이 점막하층에 국한되어 있는지 혹은 점막과의 연결성이 존재하는지를 세밀하게 평가할 수 있어 중요한 보조 진단 도구로 자리 잡았다.3,4) 하지만 EUS 유도 FNA는 천공 위험성 때문에 실제 임상에서는 제한적으로 사용된다.

식도 벽 내 농양의 발생 기전은 명확하지 않으나, 선행 심부 경부 감염이나 후인두 농양에서 식도 벽으로 염증이 파급되거나, 인두 이물 및 내시경 시술에 따른 점막 미세 손상 후 점막하층으로 세균이 침투하는 경우가 보고되어 있다.4,5) 특히 후인두 농양에서 식도 벽 내 농양과 해부학적 연속성을 보이는 증례나, 점막하 농양이 파열되면서 식도 내강 또는 흉강으로 파급된 증례들이 보고되어 있어, 병변의 해부학적 범위와 주변 심부 경부 공간의 동반 침범 여부를 면밀히 평가하는 것이 중요하다.7,8)

치료 전략은 병변의 범위와 환자의 전신 상태, 합병증 여부에 따라 달라진다. 국한된 병변의 경우 항생제 단독 치료로 호전된 보고가 있으나, 이 경우에도 엄격한 영상 추적 관찰이 필요하다. 최근에는 내시경 점막 절개 및 배농이 최소 침습적 치료로 부상하며 좋은 결과를 보이고 있다.4) 특히 단일 공동(single cavity) 형태의 병변에서 내시경적 배농은 효과적이고 합병증이 적은 치료법으로 보고된다. 그러나 내시경적으로 점막 변화가 명확하지 않은 경우에는, 시술 중 점막 천공 및 종격동염 악화의 위험이 증가하므로 내시경적 접근은 신중히 고려해야 한다.2,3) 병변이 다엽성(multiloculated)이거나 경부 및 종격동으로 파급되어 기도 압박이나 패혈증과 같은 위중한 상태로 이어진 경우에는 조기 개방적 수술이 필수적이다.5,6) 본 증례에서는 병변이 상부 식도와 심부 경부를 따라 종격동 상부까지 연장되어 있었으나, 영상에서 종격동 내에 명확한 국소 농양강이 형성되어 있지는 않았고, 고령 환자에서 경부 접근만으로도 충분한 배농이 가능하다고 판단하여 개방적 경부 배액술을 우선 선택하였다.

종격동까지 염증이 파급된 경우 흉강경(video-assisted thoracoscopic surgery, VATS)이나 개흉을 통한 배농이 추가로 필요할 수 있으며, 여러 연구에서 종격동염이나 식도 천공에 동반된 종격동 농양에 대해 VATS 배농이 효과적인 치료임을 보고된 바 있다.9,10) 다만 상부 식도 및 경부 식도에 국한된 병변에서, 경부 접근을 통해 충분한 배농이 가능하고 영상학적으로 종격동 내에 분리된 농양강이 명확하지 않은 경우에는 본 증례와 같이 경부 접근만으로도 만족스러운 결과를 얻을 수 있을 것으로 생각된다.

미생물학적 관점에서는 S. anginosus group 세균이 농양 형성과 밀접한 관련을 가지는 것으로 알려져 있으며, 두경부 및 심부 감염에서 자주 분리된다.11) 본 증례에서도 S. anginosus가 동정되었는데, 이는 기존 문헌 보고와 일치하는 결과로, 경험적 항생제 선택 시 해당 균주를 포함한 광범위 항균 커버리지가 반드시 고려되어야 함을 시사한다. 이후에는 배양 결과에 따라 항생제를 조정함으로써 치료 효과를 최적화하는 것이 중요하다.

예후 측면에서 식도 벽 내 농양은 드문 질환이지만, 진단이 늦어지거나 치료가 적절히 이루어지지 않을 경우 종격동염, 기도 폐쇄, 패혈증 등 치명적인 합병증으로 진행할 위험이 높다.7,9) 따라서 조기 영상검사와 신속한 다학제 협진, 적극적인 항생제 치료, 필요 시 수술적 배농이 포함된 종합적 접근이 환자의 생존율을 높이는 데 핵심적이다. 본 증례는 수술 후 영상 추적과 항생제 조정을 통해 성공적으로 치료가 이루어진 사례로, 수술적 배농 이후에도 지속적인 감염 내과적 관리와 영상 추적이 중요하다는 점을 보여준다.

위에서 언급하였듯이 인두 및 식도 벽 내 농양은 드물지만 적절히 치료되지 않을 경우 심각한 합병증을 초래할 수 있다. 본 증례에서도 배액과 항생제 치료 후 농양은 호전되었으나, 수술 후 위관 식이 과정에서 흡인이 발생하였다. 흡인된 내용물이 소화되지 않은 음식물 그대로 관찰된 점은 위배출 지연보다는 국소 염증 및 구조적 변형에 따른 인두-식도 접합부의 괄약근 기능 부전(sphincter dysfunction)에 의한 것으로 해석된다. 이후 시행한 흉부 CT에서 하부 폐의 의존 부위에 반점형 경화, 간유리 음영, 무기폐 등이 확인되어 흡인성 폐렴에 합당한 소견을 보였는데, 이는 식도 벽 내 농양 환자에서 드물지만 발생 가능한 이차 합병증임을 시사한다. 기존 연구에서도 흡인성 폐렴은 상부 식도 괄약근 이완 장애나 연하 협응 장애가 주요 원인으로 보고되었으며, 중증의 경우 meropenem과 같은 광범위 항생제가 필요할 수 있음이 강조된 바 있다.12,13) 따라서 식도 벽 내 농양 환자에서는 농양의 국소적 조절뿐 아니라, 괄약근 기능 장애로 인한 흡인과 폐 합병증 발생 가능성에 대한 면밀한 추적 관찰이 중요하다.

또한, 점막하 농양이 파열되어 주변 심부 경부 공간이나 종격동으로 염증이 파급된 경우, 4th branchial cleft cyst와 같은 선천성 기형이나 기타 경부 낭성 병변과의 감별이 어려울 수 있다는 점도 고려해야 한다.14) 본 증례에서는 농양이 식도 벽 내에 국한된 상태에서 수술적 배농을 시행하여 파열 이전 상태에서 진단과 치료가 이루어졌으나, 향후 유사한 해부학적 위치에서 파열된 병변이 관찰될 경우에는 이러한 질환들과의 감별 진단을 포함한 보다 광범위한 영상 및 내시경 평가가 필요할 것으로 생각된다. 또한, 단순 항생제 치료만으로는 불충분할 수 있어, 개방적 혹은 내시경적 배농 여부를 신중히 판단하고 흉부외과, 소화기 내과와의 다학제적 접근이 요구된다.

본 증례는 성공적으로 치료되었지만, 단일 증례라는 점에서 일반화에 한계가 있다. 특히 내시경적 접근과 개방적 수술의 선택 기준, 장기적인 예후 및 재발률 등에 대해서는 추가적인 증례 축적과 체계적 연구가 필요하다. 향후 다수의 환자를 포함한 전향적 연구나 문헌 고찰을 통해, 식도 벽 내 농양의 최적 진단, 치료 알고리즘을 마련하는 것이 필요하다. 이러한 점에서 본 증례는 드문 임상 상황에 대한 중요한 참고 자료를 제공하지만, 동시에 후속 연구의 필요성을 환기시킨다고 할 수 있다.

Acknowledgements

Not applicable.

Funding Information

Not applicable.

Conflicts of Interest

No potential conflict of interest relevant to this article was reported.

Author Contribution

Conceptualization: Park W.

Data curation: Lee H.

Formal analysis: Lee H.

Validation: Park W.

Investigation: Lee H.

Writing - original draft: Lee H.

Writing - review & editing: Lee H, Park W.

Ethics Approval

Ethical approval for this study was obtained from the Institutional Review Board of Gachon University Gil Medical Center (IRB approval number: GDIRB2025-268).

References

1.

Jiao Y, Sikong YH, Zhang AJ, Zuo XL, Gao PY, Ren QG, et al. Submucosal esophageal abscess evolving into intramural submucosal dissection: a case report. World J Clin Cases. 2022;10(29):10695-700.

2.

Young CA, Menias CO, Bhalla S, Prasad SR. CT features of esophageal emergencies. Radiographics. 2008;28(6):1541-53.

3.

Shibuya H, Ikehara H, Andoh K, Horii T, Moriyama M, Yamao K, et al. Endoscopic ultrasound-guided drainage of a mediastinal abscess caused by an ingested fish bone. Intern Med. 2019;58(15):2173-7.

4.

Zhang J, Wang H, Liu D. Treatment of a spontaneous intramural esophageal abscess by endoscopic mucosal incision: an easy and effective therapy. Endoscopy. 2022;54(Suppl 2):E937-8.

5.

Goto S, Takahashi M, Honda N, Naiki M. A case of esophageal wall abscess complicated by deep neck abscess. Pract Otorhinolaryngol (Jibi-Rin). 2018;111(2):109-15.

6.

Almuqamam M, Gonzalez FJ, Sharma S, Kondamudi NP. Deep neck infections. In: StatPearls [Internet]. 2024 [cited 2025 Jan 3]. Available from: https://www.ncbi.nlm.nih.gov/books/NBK513262/

7.

Han JH, Cha RR, Kwak JY, Jeon H, Lee SS, Jung JJ, et al. Two cases of severe complications due to an esophageal fish bone foreign body. Medicina. 2023;59(9):1504.

8.

Won JY, Maeng JW, Park B, Hong SK. Intramural esophageal abscess and dissection due to retropharyngeal abscess. Korean J Otorhinolaryngol-Head Neck Surg. 2011;54(12):870-4.

9.

Cho JS, Kim YD, I HS, Lee SK, Jeong YJ. Treatment of mediastinitis using video-assisted thoracoscopic surgery. Eur J Cardiothorac Surg. 2008;34(3):520-4.

10.

Liang LC, Peng ZY, Lin HH, Zhou K, Cao J, Huang ZK, et al. Video-assisted thoracic surgery drainage is feasible and safe for acute necrotizing mediastinitis: a retrospective cohort study. J Thorac Dis. 2023;15(11):5992-9.

11.

Han JK, Kerschner JE. Streptococcus milleri: an organism for head and neck infections and abscess. Arch Otolaryngol Head Neck Surg. 2001;127(6):650-4.

12.

Lee TH, Park JH, Sohn C, Yoon KJ, Lee YT, Park JH, et al. Failed deglutitive upper esophageal sphincter relaxation is a risk factor for aspiration in stroke patients with oropharyngeal dysphagia. J Neurogastroenterol Motil. 2017;23(1):34-40.

13.

Tokuyasu H, Harada T, Watanabe E, Kadowaki M, Watanabe K, Koshiji Y, et al. Effectiveness of meropenem for the treatment of aspiration pneumonia in elderly patients. Intern Med. 2009;48(3):129-35.

14.

Neff L, Kirse D, Pranikoff T. An unusual presentation of a fourth pharyngeal arch (branchial cleft) sinus. J Pediatr Surg. 2009;44(3):629-9.