Journal of Clinical Otolaryngology Head and Neck Surgery
The Busan, Ulsan, Gyeoungnam Branch of Korean Society of Otolaryngology-Head and Neck Surgery
Case Report

부비동 내시경 수술 후 5년 동안 잔존한 흡수성 비강 팩킹 물질로 인해 발생한 상악동염 1예

이진1https://orcid.org/0000-0003-2264-8310, 김동현1https://orcid.org/0000-0002-0439-7012, 이재훈1,*https://orcid.org/0000-0002-0856-8173
Jin Lee1https://orcid.org/0000-0003-2264-8310, Dong Hyun Kim1https://orcid.org/0000-0002-0439-7012, Jae Hoon Lee1,*https://orcid.org/0000-0002-0856-8173
1원광대학교 의과대학 이비인후과교실
1Department of Otorhinolaryngology-Head and Neck Surgery, College of Medicine, Wonkwang University, Iksan, Korea
*Corresponding author: Jae Hoon Lee, Department of Otorhinolaryngology-Head and Neck Surgery, College of Medicine, Wonkwang University, Iksan 54538, Korea, Tel: +82-63-859-1441, Fax: +82-63-841-6556, E-mail: Leejaehoon64@gmail.com

© Copyright 2025 The Busan, Ulsan, Gyeoungnam Branch of Korean Society of Otolaryngology-Head and Neck Surgery. This is an Open-Access article distributed under the terms of the Creative Commons Attribution Non-Commercial License (http://creativecommons.org/licenses/by-nc/4.0/) which permits unrestricted non-commercial use, distribution, and reproduction in any medium, provided the original work is properly cited.

Received: Apr 24, 2025; Revised: May 28, 2025; Accepted: Jun 04, 2025

Published Online: Jun 30, 2025

ABSTRACT

Nasal packing is commonly performed at the end of endoscopic sinus surgery to control postoperative bleeding and promote wound healing. Calcium alginate fiber (Algi-pack®) is made of a woven mesh of natural fibers from seaweed and widely used for absorbable nasal packing material. It has been demonstrated in regard to great hemostatic effect, wound healing, safety and patient comfort when removed. Few reports have described complications caused by calcium alginate fibers, especially during long-term follow-up. We herein report a case of refractory maxillary sinusitis due to remnant packing material after endoscopic sinus surgery.

Keywords: Sinusitis; Maxillary sinus; Biocompatible material; Alginate; Foreign-body

서론

적절한 약물치료에 반응하지 않는 만성부비동염에서 부비동 내시경 수술을 고려할 수 있다. 부비동 내시경 수술의 원칙은 부비동 점막의 손상을 최소화하면서 자연공을 통한 환기 및 배액을 원활히 하는 것이다.1) 수술 후 합병증 발생을 줄이고 좋은 수술 결과를 얻기 위해 다양한 수술 후 관리방법이 고안되었다. 이 중 수술 후 비강이나 중비도에 팩킹(packing) 물질을 삽입하는 방법은 중비갑개를 안정화시켜 수술 후 출혈을 방지하고 점막의 치유과정에서 발생할 수 있는 유착이나 재협착을 예방하는 효과를 기대할 수 있다.2) 다양한 비강 팩킹 재료들이 개발되었으며, 크게 비흡수성 물질과 흡수성 물질로 구분할 수 있다. 비흡수성 팩킹 물질은 삽입기간 동안 환자의 불편감과 통증을 악화시킬 수 있으며 제거 시 발생하는 불편감이 커서 흡수성 팩킹 물질 사용이 선호되고 있다.3,4)

Algi-pack® (T&L, Anseong, Korea)은 calcium alginate fiber 제재로, 갈조류(brown seaweed)에서 추출한 천연의 느슨한 섬유조직을 엮어 그물망(mesh) 형태로 만든 흡수성 팩킹 물질이다(Fig. 1).5) 수술 부위의 습윤 상태를 유지시켜 주고, 점막 상피의 치유를 촉진하여 지혈 효과를 낸다고 알려져 있어 부비동 내시경 수술에서 비강 팩킹 물질로 널리 사용되고 있다.3,4) 흡수성 팩킹 물질의 유효성에 대해서는 여러 연구를 통해 입증되었으나, 이로 인한 합병증, 특히 장기간 뒤 발생한 합병증 사례는 아직 보고된 바 없다.

jcohns-36-2-54-g1
Fig. 1. Photograph of Algi-pack®. The Algi-pack® is woven mesh-type calcium alginate nasal packing material.
Download Original Figure

저자들은 부비동 내시경 수술 후에도 지속되는 후비루를 주소로 내원한 50대 여자 환자에서 상악동 내 잔존한 Algi-pack®으로 인한 상악동염 1예를 경험하였으며, 이에 문헌 고찰과 함께 본 증례를 보고하는 바이다. 본 증례는 본 병원 임상시험심사위원회(IRB)로부터 심사 면제(2023-08-010)를 받았다. 본 연구는 환자의 모든 개인 식별 정보를 철저히 익명화하여 작성되었으며, 제공된 모든 임상 정보 및 영상 자료에서 환자를 특정할 수 있는 정보는 완전히 제거되었다. 따라서 환자로부터 직접적인 서면 동의를 받지 못했으나, 환자의 사생활 보호 및 정보 보안에 대한 윤리적 책임을 다하기 위해 최선을 다하였다. 본 증례는 환자에게 위해가 되지 않으며 개인 정보가 노출되지 않도록 엄격히 관리되었다.

증례

50대 여자 환자가 5년 전에 좌측 농성 비루와 후비루 증상으로 본원 이비인후과 외래에 내원하여 좌측 만성 부비동염 진단으로 전신마취하에서 좌측 부비동 내시경 수술을 받았다. 과거력상 30년 전 폐결핵으로 약물치료 후 완전 관해 되었고, 이후 기관지 확장증으로 호흡기내과에서 치료 없이 추적관찰 중인 것 외에 고혈압이나 당뇨 등의 만성 기저질환은 없었다.

내원 당시 시행한 전비경과 비내시경 검사에서 좌측 중비도를 채우고 있는 비용종(nasal polyp) 소견과 후비루가 관찰되었고, 시행한 부비동 전산화 단층 촬영(computed tomography, CT)에서는 좌측 상악동 전체를 채우며 개구비도 단위(ostiomeatal unit)의 폐쇄를 보이는 연조직음영 소견과 함께 좌측 전두동과 사골동에도 부분적인 혼탁 소견을 보였다(Fig. 2).

jcohns-36-2-54-g2
Fig. 2. Preoperative computed tomography (CT) finding. A coronal view shows soft tissue densities at the left maxillary, ethmoid, and frontal sinuses.
Download Original Figure

수술 당시 좌측 구상돌기에서 기원한 것으로 추정되는 비용종을 제거하고 좌측 중비도 개창술로 상악동 자연공을 충분히 넓힌 뒤 상악동 내를 채우고 있는 다량의 고름을 배농시켰다. 수술과정에서 출혈은 심하지 않아 보스민 거즈 등 출혈을 줄이기 위한 방법은 사용하지 않았다, 부비동 수술 후 출혈 방지 및 유착 방지를 위해 수술 마무리 단계에서 Algi-pack® 단일 재료를 사용하여 중비도에 팩킹 후 수술을 마쳤다.

수술 후 1년간의 외래 경과관찰에서도 환자는 특별한 불편 증상을 호소하지 않았으나, 그 다음 외래 방문부터 간헐적인 후비루와 함께 비강 세척 시 냄새가 나는 증상을 호소하였다. 당시 비내시경 검사에서 좌측 상악동으로부터 약간의 노란 분비물이 보여 중비도 개창술 부위를 통해 상악동 세척을 수차례 시행하였다. 다음 내원일을 예약하였으나 환자는 외래에 내원하지 않았다.

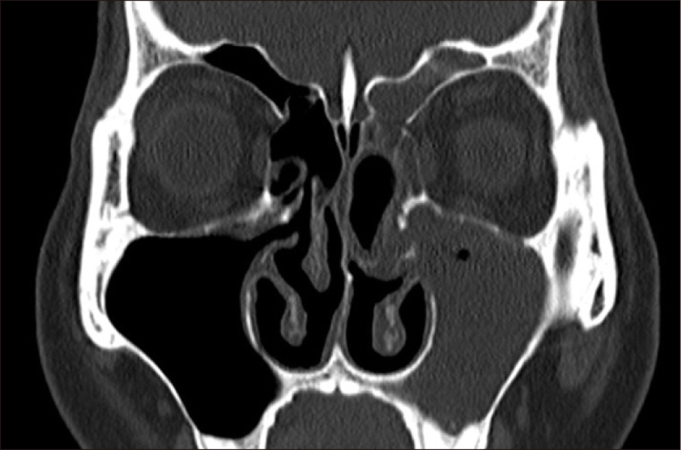
수술 5년 경과 후, 환자는 외래에 내원하였는데 그 동안 병원에서의 코로나 감염 우려로 오지 못했다고 하였다. 환자는 좌측 농성 비루와 후비루 증상이 호전되지 않는다고 하여 당일 CT를 시행하였는데 좌측 상악동에 부분적인 혼탁과 석회화 소견이 보였다(Fig. 3). 외래에서 수 차례 좌측 상악동 세척을 하였는데 환자의 좌측 중비도에서 단단하고 황색을 띠는 솜 형태의 여러 조각들이 관찰되며, 이는 섬세한 섬유성 조직과 얽혀 있었다(Fig. 4). 환자의 중비도에서 발견된 미세한 섬유조직은 수술 당시 사용한 Algi-pack®의 성분과 같은 것으로 생각되었다. 상악동 이물 제거 후 70도 내시경과 Water 영상에서 좌측 상악동에서 특이 소견이 관찰되지 않았다(Fig. 5). 이후 환자는 더 이상의 불편 증상을 호소하지 않았고 재발이나 합병증 없이 외래 추적 관찰 중이다.

jcohns-36-2-54-g3
Fig. 3. Postoperative endoscopic and computed tomography (CT) findings after the surgery. (A) thick, dark yellowish discharge was observed draining from the left maxillary sinus. (B) rod-shaped calcification (arrow) was observed in the left maxillary sinus.
Download Original Figure
jcohns-36-2-54-g4
Fig. 4. Endoscopic findings after maxillary sinus irrigations. (A), (B) multiple firm, yellowish, cotton-like fragments (arrow) are observed in the left middle meatus of the patient, entangled with delicate fibrous tissues (arrowhead).
Download Original Figure
jcohns-36-2-54-g5
Fig. 5. Endoscopic and radiographic findings after mass removal. (A) endoscopic view using a 70-degree endoscope shows a clear maxillary sinus. (B) water’s view radiograph shows no abnormal findings following removal of the left maxillary sinus mass.
Download Original Figure

고찰

Algi-pack®은 칼슘 알지네이트 화이버(calcium alginate fiber) 제재로 이 섬유 조직들을 느슨하게 엮어 그물망(mesh) 형태로 만든 흡수성 비강 팩킹 재료이다. 칼슘 알지네이트는 다시마와 같은 갈조류의 세포벽을 구성하는 다당류인 알지네이트 섬유를 추출하여 이를 칼슘과 결합시켜 만든다.6) 칼슘 알지네이트는 상처 부위에서 삼출물을 흡수하여 겔(gel)과 같은 물질로 변형됨과 동시에 칼슘 이온을 방출하여 알긴산나트륨으로 전환된다.4) 변형된 겔은 상처부위의 습한 환경을 유지하여 상처 치유를 촉진한다.7) 방출된 칼슘 이온은 지혈 경로(coagulation cascade)에서 기질로 작용하여 혈소판 활성화 과정을 자극시켜 지혈을 촉진한다.3)

칼슘 알지네이트는 예전부터 신경외과, 외과, 치과 등 여러 과에서 수술 시 지혈제로 사용되었으며, 상처 드레싱 재료로도 널리 사용되었다.8) 이비인후과 영역에서는 부비동 및 비강 내 수술 후 사용되는 비강 팩킹 물질로 다양한 재료들을 연구하면서 그 중 하나로 생체분해성(biodegradable) 생체 재료인 칼슘 알지네이트를 사용하게 되었다.

수술 후 비강 팩킹의 주요 목적은 수술 후 출혈을 방지하고, 상피의 재생 및 창상 회복을 촉진하며 유착을 방지하기 위해서이다.9,10) 비강 팩킹 재료는 흡수성 재료와 비흡수성 재료로 나눌 수 있다. 흡수성 재료는 생체분해성의 특징을 가지며 이러한 재료의 대부분이 창상 부위에 적용시 고형(solid)에서 겔의 형태로 바뀐다. 비흡수성 재료는 체내에서 생분해되지 않으며 대개 고형 성분으로, 이는 수술 부위에 삽입 후 위치를 고정시키는 데에는 유리하지만 잠재적으로 치명적인 감염의 원인이 될 수 있다. 따라서 대부분의 비흡수성 팩킹 재료는 수술 후 수일 내로 제거해야 하며, 드레싱 기간과 제거 시 흡수성 재료에 비해 더 큰 통증을 유발한다.5) 그러나 흡수성 팩킹 재료의 경우 겔화되어 비점막에 달라붙지 않으며 석션기(suction)로 쉽게 제거되어 통증을 크게 일으키지 않는다.

Chevillard 등4)의 연구에서 하비갑개 절제술 후 팩킹 물질로 비흡수성 물질인 polyvinyl acetal과 칼슘 알지네이트를 사용하여 비교하였을 때, 후자가 전자와 유사한 지혈 효과를 가지면서도 팩킹 제거 시 전자에 비해 비점막에 외상을 덜 가하며, 환자에게도 불편감과 통증을 덜 초래한다는 것을 밝혔다. 또한 Okushi 등3)도 부비동 내시경 수술 시 팩킹 물질로 비흡수성 물질인 chitin으로 코팅된 거즈와 칼슘 알지네이트를 비교하여, 후자 사용 시 수술 후 통증, 출혈, 후비루가 유의하게 적다고 보고하였다. 이렇듯 칼슘 알지네이트는 이상적인 비강 팩킹 재료의 조건인 흡수성과 생체분해성의 특성을 갖췄으며,9) 여러 연구에서 안전성과 유효성이 입증되었다.

본 저자들의 문헌 고찰에 의하면 비부비동 수술 시 비강 팩킹으로 칼슘 알지네이트를 사용한 후 발생한 부작용이나 합병증에 대해서는 아직까지 보고된 바가 없으나, 다른 수술에서 지혈제로 칼슘 알지네이트를 사용 후 발생한 합병증에 대한 증례 보고가 2예 있었다. Bhalla 등11)은 악하선 절제술 후 지혈 목적으로 수술 부위에 칼슘 알지네이트(Kaltostat®, Convatec, Uxbridge, UK)를 사용한 환자에서 추적 관찰 중 종양의 재발로 오인된 칼슘 알지네이트의 이물 반응 증례를 보고하였다. 환자는 수술 후 20주 뒤 시행한 자기공명영상에서 국소 재발을 시사하는 종물 소견을 보이며 세침흡인검사에서 이물 반응을 시사하는 소견을 보여 수술적 제거를 하였고, 수술 소견과 조직병리 소견에서 염증성 캡슐로 둘러싸인 칼슘 알지네이트 섬유 성분임을 확인했다. Odell 등12)은 상부 측절치의 치근단 절제술 후 지혈 목적으로 칼슘 알지네이트(Kaltostat®)를 사용한 환자에서 수술 26주 후에도 증상을 동반한 이물 반응을 보여 치과 소파술(curettage)로 제거하여 치료한 증례를 보고하였다. 위의 두 증례에서는 칼슘 알지네이트 적용 후 각각 20주, 26주 기간까지 칼슘 알지네이트가 잔존해 있음을 확인하였으나, 본 증례에서는 5년 동안 칼슘 알지네이트가 체내에서 분해되지 않고 남아있을 수 있음을 확인하였다.

본 증례의 CT 영상에서 관찰된 석회화 소견은 장기간 동안 좌측 상악동에 잔존한 Algi-pack®으로 인한 만성적인 이물 반응 및 염증 과정의 결과일 가능성이 높다.11,12) 칼슘 알지네이트는 갈조류에서 추출한 천연 섬유 조직으로 이루어져 있으며, 상처 부위에서 삼출물을 흡수하여 겔과 같은 물질로 변형되고 동시에 칼슘 이온을 방출하여 알긴산나트륨으로 전환된다. 이 과정에서 방출되는 칼슘 이온은 지혈 과정에 기여한다. 본 증례처럼 흡수성 재료임에도 불구하고 장기간 체내에 잔존하는 경우, 방출된 칼슘 이온이 주변 조직에 침착되거나 염증 반응으로 인해 형성된 섬유성 캡슐 내에서 이차적으로 석회화가 일어날 가능성이 충분하다고 사료된다. 특히 Algi-pack®은 칼슘 알지네이트가 주성분이므로, 이러한 칼슘 성분이 장기간 이물 반응과 함께 체내에 남아있을 때 석회화를 유발할 수 있는 잠재적 요인이 된다. 이는 Algi-pack®의 생체 내 흡수 및 분해 과정에 대한 추가적인 연구가 필요함을 시사하는 중요한 임상적 관찰 결과라고 판단된다.

본 증례에서는 Algi-pack®이 5년이라는 매우 이례적인 장기간 동안 흡수되지 않고 상악동 내에 잔존하였다, 이러한 현상이 발생할 수 있는 병태생리학적 기전은 다음과 같이 추정해 볼 수 있다. 첫째, 국소 염증 및 이물 반응으로 팩킹 물질이 체내에 유입되면 정상적인 이물 반응이 발생한다. 대부분의 경우 이 반응은 팩킹 물질의 흡수 및 제거와 함께 해소된다. 그러나 특정 환자에서는 과도하거나 비정상적인 염증 반응이 유발될 수 있다. 본 증례와 같이 팩킹 물질이 장기간 노출된 상태에서는 만성적인 염증 반응이 지속될 수 있으며, 이는 팩킹 주변 조직의 섬유화를 촉진할 수 있다. 섬유 조직은 팩킹 물질을 단단히 둘러싸고, 외부 환경과의 상호작용을 차단하여 정상적인 수분 흡수 및 효소적 분해 과정을 방해하여 Algi-pack®의 생체 내 흡수 및 분해가 지연되거나 완전히 실패했을 가능성이 있다.

둘째, 부비동 환경의 특수성으로 상악동은 비강과 직접적으로 연결되지만, 해부학적으로 폐쇄적인 공간이며 환기 및 점액 배출에 제약이 있는 경우가 많다. 이러한 환경적 요인이 팩킹 물질의 정상적인 흡수 및 배출 과정을 방해했을 수 있다. 특히, 상악동 내에 발생한 만성 염증으로 인해 점액의 성상 변화 및 섬모 운동 기능 저하가 동반되었다면, 팩킹 물질 주변의 환경이 더욱 불리하게 작용하여 흡수를 지연시켰을 수 있다.

셋째, 부비동 내시경 수술 후 남아 있는 좌측 수포성 중비갑개가 중비도의 환기 및 점액 배출을 방해하여 잔존 팩킹 제거를 어렵게 했을 가능성이 있다.13,14) 수포성 중비갑개는 비강의 해부학적 변이 중 하나로, 중비도 공간을 침범하여 누두부(infundibulum)와 상악동 자연공을 좁게 할 수 있다. 이는 비강의 정상적인 공기 흐름을 변화시키고 부비동 환기 및 섬모운동에 의한 점액 배출에 부정적인 영향을 미쳐 관련 부비동을 감염에 취약하게 만들 수 있다. 본 증례의 좌측 수포성 중비갑개로 인해 중비도의 생리학적 기능에 장애가 발생하여 잔존 팩킹 물질이 정상적으로 배출되지 못하고 장기간 남아있게 된 원인 중 하나로 작용했을 가능성을 배제할 수 없다.

넷째, 본 증례의 환자는 부비동 내시경 수술 전부터 기관지 확장증을 앓고 있었으며, 기관지 확장증과 만성 부비동염은 흔히 동반되는 질환으로, 이는 상기도와 하기도 간의 ‘하나의 기도(one airway)’ 개념으로 설명될 수 있다. 만성 염증, 점액 섬모 수송 기능의 저하, 그리고 면역 기능 이상 등 공통된 병태생리학적 기전이 두 질환의 발생 및 악화에 관여할 수 있다. 본 증례 환자의 경우, 부비동염 수술 후 흡수성 비강 팩킹 물질의 장기간 잔존과 염증 반응에 기관지 확장증과 같은 기저 폐 질환이 영향을 미쳤을 가능성도 배제할 수 없다. 비록 직접적인 인과 관계를 명확히 밝히기는 어렵지만, 전신적인 염증 반응 경향이나 점액 청소 능력의 저하가 이물질의 분해 및 배출 과정에 영향을 주어 잔존 기간을 연장시켰을 가능성을 고려해 볼 수 있다.

다섯째, 팩킹 물질의 물리적 변형 및 응집으로 장기간 습한 환경에 노출되면서 Algi-pack®의 섬유 구조가 변형되거나 응집되어, 겔 형태로의 전환 및 분해 과정이 원활하게 진행되지 못했을 수 있다. 이는 팩킹 물질 자체의 물리적 특성 변화로 인해 흡수 효율이 저하되었음을 의미한다. 종합적으로, 본 증례에서 흡수성 칼슘 알지네이트 팩킹 물질이 장기간 흡수되지 않고 잔존한 것은 환자 개개인의 특이적인 이물 반응, 상악동 내의 국소적인 염증 환경 및 해부학적 요인, 그리고 팩킹 물질 자체의 물리적 변형 등 여러 복합적인 병태생리학적 기전이 상호 작용한 결과로 추정된다. 이러한 드문 합병증에 대한 이해를 높이기 위해서는 추가적인 연구가 필요할 것으로 사료된다.

본 증례에서 사용된 calcium alginate fiber(Algi-pack®) 외에도 다양한 흡수성 비강 팩킹 재료들이 부비동 내시경 수술 후 출혈 조절 및 상처 치유 촉진을 위해 사용되고 있다. 대표적인 다른 흡수성 팩킹 재료로는 NasoPore®(polyurethane foam; Collagen Matrix, Inc, Groningen, Nederlands)와 Guardcel®(oxidized regenerated cellulose; Genewel, Seongnam, Korea) 등이 있다.15) NasoPore®는 합성 폴리우레탄 폼으로, 수술 후 출혈 관리 및 유착 방지에 효과가 있다고 보고되었다. 또한, NasoPore®는 환자 만족도 측면에서도 긍정적인 결과를 보였다. Guardcel®과 같은 oxidized regenerated cellulose는 지혈 효과가 뛰어나고 생체 적합성이 좋은 것으로 알려져 있다. 이들 재료 역시 Algi-pack®과 마찬가지로 흡수성 및 생체분해성 특성을 가지며, 수술 후 환자의 불편감을 줄이고 제거 시 통증이 적다는 장점이 있다. 하지만 본 증례에서 경험한 바와 같이, Algi-pack®이 5년이라는 장기간 동안 체내에 잔존하여 만성 염증을 유발할 수 있다는 점은 다른 흡수성 팩킹 재료에서도 유사하게 발생할 수 있는 잠재적 합병증 가능성을 시사한다. 비록 NasoPore®나 Guardce®과 같은 다른 흡수성 팩킹 재료들의 장기간 잔존으로 인한 합병증 보고는 아직 미미하지만, 저희 증례는 흡수성 재료라 할지라도 개인차 또는 특정 조건 하에서는 예상보다 긴 시간 동안 체내에 남아 이물 반응을 일으킬 수 있음을 강조한다. 따라서, 수술 후 흡수성 팩킹 재료의 완전한 흡수 여부를 확인하고, 환자에게 장기간의 추적 관찰 및 주기적인 비강 세척의 중요성을 교육하는 것이 필요할 것으로 사료된다.

비부비동 수술에서는 유사한 증례 보고가 없었기에 본 증례에서처럼 수술 후 오랜 기간 간헐적인 후비루를 호소하는 환자에게 칼슘 알지네이트가 분해되지 않고 남아 이물반응 및 염증을 일으켰을 가능성에 대해 예측하기가 쉽지 않았다. 또한 환자가 본인 사정상 외래 내원을 정기적으로 하지 않아 진단과 처치가 늦어진 것이 아쉬운 점이다. 그리고 본 증례에서의 또 다른 아쉬움으로 상악동에서 제거된 이물에 대해 조직학적 검사를 보내지 못한 점이다. 병원 검사 수가 절차상 조직검사 비용을 환자가 부담해야 하는 부분이 있어서 외래에서 제거된 이물에 대해 조직검사를 의뢰하지 못했다.

본 증례에서 잔존한 이물질은 환자의 수술 병력상 흡수성 비강 패킹 물질인 Algi-pack®이 사용되었다는 점과 수술 중 육안적으로 관찰된 물질의 형태 및 색깔(황색을 띠는 솜 형태)을 종합적으로 고려하여 Algi-pack®으로 추정된다. 그러나 해당 물질에 대한 조직병리학적 검사가 이루어지지 않아 Algi-pack®으로의 확진이 이루어지지 못했다는 점은 본 증례 보고의 중요한 진단적 한계점이다. 향후 유사한 증례에서는 잔존 물질에 대한 병리학적 검사를 통해 물질의 정확한 성분을 확인하는 것이 필요할 것으로 사료된다.

본 증례를 통해 저자들은 다음과 같은 사항을 공유하고자 한다. 첫째, 흡수성 비강 충전 물질이 막대기 모양, 시트(sheet) 형태 등의 여러 형태로 상품화되어 있다. 술자에 따라 선호도가 다르고 적절히 크기로 잘라 사용하는데 작게 잘라진 경우 중비도 내에서 수술에 의해 크게 넓혀진 상악동내로 이동할 수 있음을 사전에 인지해야 하는 점이다. 경우에 따라 전두동 혹은 접형동에도 흡수 충전 물질의 이동이 가능하다. 수술 마무리 팩킹 단계에서 이를 유념하여 팩킹 물질을 삽입하여야 하겠다. 둘째, 수술 후 부비동 질환의 회복기간이 지난 후에도 환자가 누런 콧물, 악취를 호소하는 경우 부비동내의 비강 충전 물질이 있을 가능성에 대해서도 염두해야 한다. 셋째, 흡수성 비강 충전 물질에서 흡수성이란 단어처럼 비강 혹은 부비동 등의 인체에서 시간이 지남에 따라 완전 분해되지 않으므로 수술 후 일정시간 경과 후 남아 있는 흡수성 비강 충전 물질을 외래 제거하고 환자에게는 비강내 충전 물질의 제거를 쉽게 하기 위해 주기적인 코 세척을 하도록 권유해야 한다.

Acknowledgements

Not applicable.

Funding Information

Not applicable.

Conflicts of Interest

No potential conflict of interest relevant to this article was reported.

Author Contribution

Conceptualization: Lee J, Lee JH

Data curation: Lee J, Kim DH

Formal analysis: Lee J, Kim DH

Methodology: Lee J, Lee JH

Writing-original draft: Lee J, Lee JH

Writing - review & editing: Lee J, Kim DH, Lee JH

Ethics Approval

This case was granted an exemption from review (2023-08-010) by our Institutional Review Board (IRB). This study was conducted with all patient identifiable information thoroughly anonymized, and all clinical information and imaging materials provided were completely de-identified.

References

1.

Shoman N, Gheriani H, Flamer D, Javer A. Prospective, double-blind, randomized trial evaluating patient satisfaction, bleeding, and wound healing using biodegradable synthetic polyurethane foam (NasoPore) as a middle meatal spacer in functional endoscopic sinus surgery. J Otolaryngol Head Neck Surg 2009;38(1):112-8.

2.

Berlucchi M, Castelnuovo P, Vincenzi A, Morra B, Pasquini E. Endoscopic outcomes of resorbable nasal packing after functional endoscopic sinus surgery: a multicenter prospective randomized controlled study. Eur Arch Oto-Rhino-L 2009;266:839-45.

3.

Okushi T, Yoshikawa M, Otori N, Matsuwaki Y, Asaka D, Nakayama T, et al. Evaluation of symptoms and QOL with calcium alginate versus chitin-coated gauze for middle meatus packing after endoscopic sinus surgery. Auris Nasus Larynx 2012;39(1):31-7.

4.

Chevillard C, Rugina M, Bonfils P, Bougara A, Castillo L, Crampette L, et al. Evaluation of calcium alginate nasal packing (Algostéril®) versus polyvinyl acetal (Merocel®) for nasal packing after inferior turbinate resection. Rhinology 2006;44:58-61.

5.

Choi S, Seo Y, Ko JS, Song YJ, Yoon JS. Comparison of calcium alginate and polyurethane foam used as nasal packings after endonasal dacryocystorhinostomy. J Korean Ophthalmol Soc 2018;59(3):1010861.

6.

D’Ayala GG, Malinconico M, Laurienzo P. Marine derived polysaccharides for biomedical applications: chemical modification approaches. Molecules 2008;13(9):2069-106.

7.

Field CK, Kerstein MD. Overview of wound healing in a moist environment. Am J Surg 1994;167(1):S2-6.

8.

Becker TA, Preul MC, Bichard WD, Kipke DR, McDougall CG. Preliminary investigation of calcium alginate gel as a biocompatible material for endovascular aneurysm embolization in vivo. Neurosurgery 2007;60(6):1119-28.

9.

Park DJ. Packing materials for nasal and paranasal sinus. J Rhinol 2010;17(2):78-82.

10.

Valentine R, Wormald PJ, Sindwani R. Advances in absorbable biomaterials and nasal packing. Otolaryngol Clin North Am 2009;42(5):813-28.

11.

Bhalla RK, Murphy J, Jones TM, Roland NJ. Foreign body reaction to calcium alginate fibre mimicking recurrent tumour of the submandibular salivary gland. Br J Oral Maxillofac Surg 2002;40(2):172-4.

12.

Odell EW, Lombardi T, Oades P. Symptomatic foreign body reaction to haemostatic alginate. Br J Oral Maxillofac Surg 1994;32(3):178-9.

13.

Kim NP, Kang BS, Song HJ, Lee WJ, Lee WY, Kim CA. The contents of concha bullosa and its orgin site. Korean J Otolaryngol Head Neck Surg 1998;41(4):471-3.

14.

Tiwari R, Goyal R. Role of concha billosa in chronic rhinosinutis. Indian J Otolaryngol Head Neck Surg 2019;71:128-31.

15.

Massey CJ and Singh A. Advances in absorbable biomaterials and nasal packing. Otolaryngol Clin North Am 2017;50(3):545-63.