Journal of Clinical Otolaryngology Head and Neck Surgery
The Busan, Ulsan, Gyeoungnam Branch of Korean Society of Otolaryngology-Head and Neck Surgery
Case report

몰입형 하마종으로 오인된 구강저의 표피낭종 1예

이승주1https://orcid.org/0000-0001-8276-2567, 박체현1https://orcid.org/0009-0004-6060-5105, 여정민1https://orcid.org/0009-0007-0100-8070, 박태정1,*https://orcid.org/0000-0002-2622-0138
Seungjoo Lee1https://orcid.org/0000-0001-8276-2567, Chehyun Park1https://orcid.org/0009-0004-6060-5105, Jungmin Yeo1https://orcid.org/0009-0007-0100-8070, Taijung Park1,*https://orcid.org/0000-0002-2622-0138
1메리놀병원 이비인후과
1Departments of Otorhinolaryngology-Head and Neck Surgery, Maryknoll Hospital, Busan, Korea
*Corresponding author: Taijung Park, Department of Otorhinolaryngology-Head and Neck Surgery, Maryknoll Hospital, Busan 48972, Korea, Tel: +82-51-461-2692, Fax: +82-51-462-9419, E-mail: P791216@naver.com

© Copyright 2026. The Busan, Ulsan, Gyeoungnam Branch of Korean Society of Otolaryngology-Head and Neck Surgery. This is an Open-Access article distributed under the terms of the Creative Commons Attribution Non-Commercial License (http://creativecommons.org/licenses/by-nc/4.0/) which permits unrestricted non-commercial use, distribution, and reproduction in any medium, provided the original work is properly cited.

Received: Jan 12, 2026; Revised: Feb 19, 2026; Accepted: Mar 16, 2026

Published Online: Mar 31, 2026

ABSTRACT

Epidermal cysts are generally benign tumors that usually originate from the skin caused by inflammation of hair cortex and proliferation of epidermal cells within the dermis. Epidermoid cysts are often found on the head, neck, back, or genitals; in contrast, for these cysts to occur in mouth floor are rare. We recently encountered a 14-year-old female with a mass in submental area, which was finally diagnosed as epidermal cyst after an initial misdiagnosis as plunging ranula. We report this rare, unique case with literature review.

Keywords: Epidermal cyst; Mouth Floor; Ranula

서론

표피낭종은 주로 표피나 모낭 상피에서 기원하는 양성종양으로 진피 내의 표피 세포의 증식이나 모피질의 염증 반응에 의해 발생한다. 표피낭종은 신체 어디에서든 생길 수 있지만 주로 두경부와 등 그리고 생식기 주변에서 발생하는데 구강저에서의 발견은 매우 드문 것으로 알려져 있다.1) 이에 저자들은 14세 여자 환자의 턱 밑에 발생한 종물을 몰입형 하마종으로 오인하였으나 수술적 치료로 적출하여 표피낭종으로 확진한 1예를 경험하였기에 문헌 고찰과 함께 보고하고자 한다.

증례

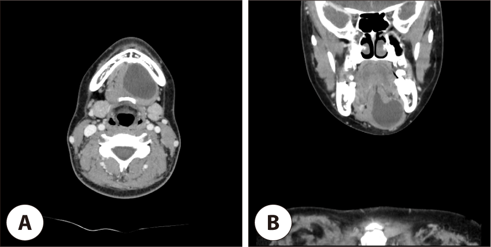
14세 여자 환자로 수년 전부터 턱 밑 종물이 있었으며 별다른 치료 없이 경과관찰 하였으나, 약 6개월 전부터 점차 크기가 증가하는 양상 보여 본원 이비인후과를 내원하였다. 특별히 호소하는 다른 증상은 없었고, 이학적 검사 상 4×3 cm 크기의 부드러운 종물이 만져졌으며 고정되어 있는 양상이었다. 내시경 상 구강저 점막은 정상 소견을 보였으며, 염증 소견 및 기타 유의미한 해부학적 변화는 관찰되지 않았다(Fig. 1A). 전산화단층촬영(computed tomography, CT) 상 3.7×3.3 cm 크기의 주위와 경계가 분명한 종괴가 관찰되었고, 일부 종괴는 하악설골근을 뚫고 아래로 전위되어 있었으며 종괴 내부는 저음영을 보이고 있었다. 조영 증강시에도 내부는 조영 증강이 되지 않는 소견이었다(Fig. 2). 임상적으로 몰입형 하마종이 의심되었으나, 수년간 지속된 턱 밑 종괴의 병력을 고려할 때 설하선 기원의 Warthin 종양 및 기타 양성 종양의 가능성을 배제할 수 없었다. 이에 질환의 감별 및 해부학적 연관성 파악을 위해 경부 자기공명영상 촬영을 시행하였다. 경부 자기공명영상(magnetic resonance imaging, MRI) 소견상 좌측 악하부에서 명확한 경계를 가진 3.1×3.3×3.7 cm 크기의 병변이 관찰되었으며, 이는 T1 및 T2 강조영상 모두에서 중등도 내지 약간의 고신호 강도를 나타내었고 유의미한 고형 성분(solid portion)은 동반하지 않았다(Fig. 3). 이러한 소견은 단백질이나 점액 함량이 높은 낭성 병변(cystic lesion)의 가능성을 시사하였으며, 고형 성분의 부재는 Warthin 종양보다는 몰입형 하마종을 좀더 시사하는 소견이었다. 몰입형 하마종 의증 하에 확진 및 치료를 위해 수술적 절제를 결정하였다. 환자 보호자가 재발률을 최소화할 수 있는 치료법을 희망함에 따라 하마종의 기원으로 추정되는 설하선을 절제하는 동시에 조대술을 시행하는 수술을 계획하였다. 구강 내 접근법을 이용하였으며 혀와 구강저의 연결부인 설소대를 따라 절개를 넣고 박리하여 종괴에 접근하였다. 구강저의 점막을 박리한 후 노출된 종괴는 육안상 일반적인 하마종의 일반적인 성상과는 달리 백색의 피막에 싸여진 부드러운 고형성 종물로 확인되었다(Fig. 4A). 술 중 설신경 및 악하선관을 확인하여 보존하였으며, 주변 조직과의 유착이나 침범 소견이 없어 설하선을 온전하게 보존하며 종괴를 완전 절제하였다. 동결절편검사는 시행하지 않았다. 환자는 수술 후 3일째 특별한 합병증이 보이지 않아 퇴원하였다.

jcohns-37-1-17-g1
Fig. 1. Local findings. (A) Preoperative endoscopic view of the floor of the mouth showing no specific abnormality. (B) Postoperative endoscopic view of the floor of the mouth showing unremarkable findings.
Download Original Figure
jcohns-37-1-17-g2
Fig. 2. Preoperative CT scans. Pre-operative CT scan shows about 3.7 cm well defined homogenous fluid density lesion without no significant solid portion at left side mouth floor (A) Axial CT scan. (B) coronal CT scan.
Download Original Figure
jcohns-37-1-17-g3
Fig. 3. Preoperative MRI scans. Pre-operative MRI scan shows 3.1×3.3×3.7 cm, well defined mass at left submandibular area with intermediate/slight high signals in (A) T1, (B) T2WIs with no significant solid portion.
Download Original Figure
jcohns-37-1-17-g4
Fig. 4. Surgical excision and gross appearance. (A) Intraoperative image of sublingual area. The lesion was removed by intraoral approach. (B) Macroscopic image of the cystic mass measuring 4.2×4.0×2.5 cm.
Download Original Figure

수술 후 제거된 검체는 4.2×4.0×2.5 cm 크기로 주변 연부조직과의 유착은 보이지 않았으며, 피막이 잘 보존되어 있었다(Fig. 4B). 최종 조직병리학적 검사에서 낭종의 피막은 중층편평상피로 이루어져 있으며, 내부에는 각질을 포함하고 있는 표피 낭종으로 최종 진단되었다(Fig. 5). 환자는 수술 후 특별한 합병증 없이 호전되었으며(Fig. 1B), 술 후 24개월이 경과한 현재까지 재발 소견 없이 외래 추적 관찰 중이다.

jcohns-37-1-17-g5
Fig. 5. Histopathological examination images. Cystic wall in composed of true epidermis, that is squamous granular & horn cells. The cyst is filled with horny material arranged in laminated layers. (A) H&E staining, x40. (B) H&E staining, x100.
Download Original Figure

고찰

표피 낭종은 상피의 함입으로 생긴 상피성 낭(epithelial cyst) 중 일부로써 양성 병변이다. 전신에 발생할 수 있으며, 두경부에서는 약 7% 정도 발생한다고 알려져 있고, 이중 약 25%가 구강 내에 발생하였으나 구강저에 발생하는 것은 그중 1.6% 정도로 매우 드물다고 보고되어 있다.13) 표피 낭종은 태생기 배아 발생 시 내부로 함입된 상피조직의 증식에 의해 발생하는 선천성 발육성 낭종인 경우가 대부분으로 드물게 후천적인 원인으로 외상 또는 의인성으로 외부 물질의 삽입에 의해 발생하기도 한다. 성별 간 발생 빈도의 차이는 없으며,4) 주로 10–20대에 잘 발견되는데 이는 표피 낭종이 주로 피지분비물, 상피증식부산물, 선분비물 등을 함유하고 있어 상피조직 활동이 가장 활발히 증가되는 시기에 가장 많이 나타나는 것으로 많은 저자들은 설명하고 있다.5)

구강저에 발생하는 표피낭종은 발생 위치에 따라서 이설골근의 상방에 위치한 설하낭종, 이설골근과 하악설골근 사이에 위치한 이하낭종 그리고 하악골 체부 아래에 위치한 악하낭종의 3가지 범주로 분류된다.6) 표피낭종의 흔한 증상으로는 이설골근의 상부에 위치할 때는 혀의 거상, 언어장애, 연하 곤란과 심하면 호흡장애를 일으킬 수 있으며, 이설골근의 하부에 위치하면 턱이 이중턱으로 보인다.7,8) 본 증례에서도 턱 밑의 무통성 종물을 주소로 내원하였다.

구강저에 종물이 관찰되는 경우 하마종, 표피낭종, 림프관종, 새열 낭종 등을 감별하여야 한다.1) 술 전 세침흡인 검사를 통해 진단이 되는 경우가 많으나, 이번 증례처럼 환자의 연령 문제로 검사가 어려워 술 전 감별진단에 어려움을 겪는 경우도 있다. Prathima 등의 소아 환자군을 대상으로 세침흡인 검사의 진단적 역할을 분석한 연구에 따르면, 세침흡인 검사는 성인에서 양성과 악성 종양을 감별하는 데 매우 높은 특이도를 보일 뿐만 아니라 소아에서도 매우 유용한 검사이다. 하지만 소아는 협조 문제로 세침흡인 검사 시행에 제약이 많으며 소아의 구강저 종물은 하마종과 유피 낭종과 같은 발달성 낭성 병소가 주를 이루며, 특히 하마종과 같은 가성 낭종은 세포 성분이 부족(hypocellularity)하여 진단적 가치가 떨어지는 경우가 많아 임상적 소견과 영상의학적 검사를 통해 종합하여 진단 및 치료 계획을 수립하는 경우가 일반적이다.9) CT와 MRI가 감별진단에 도움이 될 수 있는데, 표피 낭종의 경우 일반적으로 얇은 막을 가지고 있고 주위와 경계가 잘 지어지며 지방조직을 포함하고 있는 소견을 보이는데,10) 본 증례와 같이 피막이 두꺼워져 있고 지방조직이 거의 보이지 않으며 비교적 균질한 저음영 및 중간 또는 저신호 강도를 보이는 낭성 종양일 경우 하마종과 구별이 쉽지 않다.

실제 Yun 등은 몰입성 하마종의 진단에 있어서 CT와 MRI 그리고 FNAB(fine needle aspiration biopsy)의 정확도를 분석하면서 CT와 MRI의 술 전 진단 정확도는 각각 73%와 71%였으며 영상 검사가 불확실하여 세침흡인 검사를 시행했던 사례에서도 하마종과 표피낭종을 오진하여 수술 계획이 변경된 경우를 보고하며 하마종은 가성 낭종이라 상피 세포가 검출되지 않아 세침흡인 검사만으로 표피낭종과 완벽히 구별하기 어려운 한계가 있음을 지적하였다.11)

수술 중 육안적 소견을 통해 몰입성 하마종과 표피낭종을 명확히 감별할 수 있다. 우선 표피낭종은 상피 내벽을 포함한 두껍고 질긴 진성 낭종벽(true cystic wall)을 가지고 있어 주변 조직으로부터 박리가 용이하며 원형의 형태를 유지하며 적출된다. 육안적으로는 내부의 각질(keratin) 성분으로 인해 불투명한 유백색 혹은 황백색을 띤다. 반면, 몰입성 하마종은 명확한 상피 배열이 없는 가성 낭종(pseudocyst)으로 주변 결합 조직과 유착된 얇고 불완전한 막의 형태를 띠어 박리 시 파열되기 쉽다. 색상 면에서도 내부의 점액이 비쳐 보여 특유의 푸르스름한 광택(bluish translucency)을 머금은 반투명한 양상을 보인다는 점에서 표피낭종과 뚜렷이 구분된다.12)

구강저 표피 낭종의 치료를 위해서는 완전 절제가 필수적이다. 외과적 적출로 완전 치료가 가능하며, 일반적으로 낭종이 하악설골근 상부에 위치한 경우는 설하부에 횡절개를 가하여 낭종을 제거하는 경구를 통한 방법을, 반대로 하악설골근 하부에 위치한 경우는 악하부에 절개를 가하여 제거하는 방법이 추천된다.7,8) 본 증례는 술 전 검사에서 설하 공간에서 기원하여 하악설골근을 관통하여 하방으로 돌출되는 악하 공간의 낭종성 종물로 보여, 몰입형 하마종을 의심하여 조대술을 병행한 설하선 절제술을 계획하였으며 구강 내 접근법을 통해 수술을 시행하였다. 구강 내 수술 시 중심 종절개가 주위 조직에 대한 손상과 출혈이 적으며 미용적으로 우수하고, 표피 낭종은 피막에 잘 싸여져 있어 비교적 쉽게 제거가 가능하지만 출혈, 설신경손상 및 악하선관 손상 등에 유의하여야 한다.13) 표피 낭종의 크기가 크거나 수술적 치료 이전에 경화요법을 시행한 적이 있거나 반복적인 감염의 병력이 있는 경우에는 주위 조직과의 유착이 심하기 때문에 낭종의 절제 시 더욱 주의를 요하고, 이 경우에는 구강 외 접근을 선택해 술 후 흉터를 고려하여 피부선을 따라 횡절개를 한 후 시야를 충분히 좋게 하여 수술하는 것이 추천된다.1) 수술로 완전 절제가 이루어지면 예후는 매우 좋은 편이고 재발은 거의 없다.

본 증례에서 임상적, 영상의학적으로 몰입형 하마종과 매우 유사하였으나, 술 중 관찰된 명확한 피막 소견을 바탕으로 수술 계획을 유연하게 변경하여 설하선을 보존하며 종괴를 완전 적출할 수 있었다. 구강저에 발생하는 종물에 있어 영상 소견이 하마종에 부합하더라도 표피 낭종과 같은 양성 종양의 가능성을 항상 염두에 두어야 하며, 술 중 육안적 성상에 근거한 적절한 절제 범위의 결정이 임상적으로 매우 중요하다.

Acknowledgements

Not applicable.

Funding Information

Not applicable.

Conflicts of Interest

No potential conflict of interest relevant to this article was reported.

Author Contribution

Conceptualization: Park T.

Data curation: Yeo J.

Formal analysis: Yeo J.

Methodology: Lee S.

Software: Lee S.

Validation: Park C.

Investigation: Park T.

Writing - original draft: Lee S.

Writing - review & editing: Lee S, Park C, Yeo J, Park T.

Ethics Approval

Informed consent for publication of the images was obtained from the patient.

References

1.

Tsirevelou P, Papamanthos M, Chlopsidis P, Zourou I, Skoulakis C. Epidermoid cyst of the floor of the mouth: two case reports. Cases J 2009;2(1):9360

2.

Brunet-Garcia A, Lucena-Rivero ED, Brunet-Garcia L, Faubel-Serra M. Cystic mass of the floor of the mouth. J Clin Exp Dent 2018;10(3):e287-90.

3.

Chung K, Kim HD, Oh WH, Cho JH. A case of multiple dermoid cyst of the floor of the mouth. Korean J Otolaryngol 2000;43(4):447-9.

4.

Meyer I. Dermoid cysts (dermoid) of the floor of the mouth. Oral Surg Oral Med Oral Pathol 1955;8(11):1149-64.

5.

Vargas Fernández JL, Rojas JL, Aneiros Fernández J, Sainz Quevedo M. Dermoid cyst of the floor of the mouth. Acta Otorrinolaringol Esp 2007;58(1):31-3.

6.

Lima SM Jr, Chrcanovic BR, de Paula AM, Freire-Maia B, de Souza LN. Dermoid cyst of the floor of the mouth. Sci World J 2003;24(3):156-62.

7.

Mathews J, Lancaster J, O’Sullivan G. True lateral dermoid cyst of the floor of the mouth. J Laryngol Otol 2001;115(4):333-5.

8.

Zeltser R, Milhem I, Azaz B, Hasson O. Dermoid cysts of floor of the mouth: report of four cases. Am J Otolaryngol 2000;21(1):55-60.

9.

Prathima S, Suresh TN, Kumar ML, Krishnappa J. Fine needle aspiration cytology in pediatric age group with special reference to pediatric tumors: a retrospective study evaluating its diagnostic role and efficacy. Ann Med Health Sci Res 2014;4(1):44-7.

10.

Boko E, Amaglo K, Kpemissi E. A bulky dermoid cyst of the floor of the mouth. Eur Ann Otorhinolaryngol Head Neck Dis 2014;131(2):131-4.

11.

Yun J, Gidumal S, Saturno MP, Wein L, Fan J, Azita S Khorsandi et al. Diagnostic Difficulties of rlunging ranula: a review of 18 cases. Laryngoscope 2024;134(6):2689-96.

12.

Mohan B, Shenoy N, Poojary D, Mohan R, Naik R. Epidermoid cyst of the floor of the mouth. Natl J Maxillofac Surg 2014;5(1):79-83.

13.

Walstad WR, Solomon JM, Schow SR, Ochs MW. Midline cys¬tic lesion of the floor of the mouth. J Oral Maxillofac Surg 1998;56(1):70-4.